東京都荒川区南千住4-7-1 BiVi南千住2階 南千住駅すぐの矯正歯科


インビザライン・ファーストとは、本格的な矯正治療の前段階(第Ⅰ期治療)として行う、小学生向けのマウスピース型矯正装置です。
インビザラインは、主に永久歯が生え揃う中学生以降の治療方法でした。技術の進歩により、乳歯と永久歯の交換時期にこども(小学生)が行うインビザライン・ファーストというマウスピース矯正方法が可能になりました。インビザライン・ファーストを使用することで、永久歯が生えるスペースを作り、歯を抜かずに歯並びを整えるための準備ができます。
透明なマウスピース装置で取り外しができるため、今まで使用されてきた矯正装置と比べ、簡単に使用ができ効果がとてもあります。
| 
							 ① 透明で目立たない 
  | 
						
							 ② 0.5mmの厚さで喋る時も邪魔にならない 
  | 
					
| 
							 ③ 通院回数が少ない 
  | 
						
							 ④ 自由に取り外し可能 
  | 
					
| 
							 ⑤ 金属アレルギーの心配が無い 
  | 
						
							 ⑥ 痛みが小さい  | 
					
| 
							 ⑦ 歯磨きがしやすい  | 
					
当院においても、積極的にインビザラインファーストを取り入れ、歯並びが綺麗に改善されています。

歯並びが悪いと以下の事が生じる可能性が高くなります。
ご両親様が見た目を気にされ相談にいらっしゃる事が多いです。小学校の高学年は、見た目が非常に気になり、容姿のことでコンプレックスを抱き始めます。同級生に歯並びをからかわれるなどの心配もあります。最近では、歯並びに対して関心が高く、かなりの方が小学生の低学年から矯正治療をされるので、小学生でも歯並び・矯正治療の知識があるので、同級生が歯並びをとても気にします。
また、もう一つの来院理由として、歯が将来の健康に発達に影響を及ぼす心配をされ、ご相談にいらっしゃいます。
歯並びが悪いと、汚れが溜まりやすくなるため、虫歯や歯肉炎になりやすくなります。こどものうちから、虫歯や歯肉炎になると、将来的に歯の寿命が短くなります。
歯並びが悪いと、発音が悪くなる事があります。例えば、上と下との前歯にすき間(開咬)があると、サ行・タ行・ラ行が発音しにくくなります。小学生のうちに改善せず、うまく発音ができず、中学生になってしまうと、治療がとても難しくなる可能性があります。
インビザライン・ファーストは、乳歯と永久歯の交換時期に行うことができる矯正治療の「第Ⅰ期治療」です。第Ⅰ期治療は、永久歯へ生え変わる7歳くらいから、永久歯が生え揃う12歳くらいまで治療を行います。
期間は1~1年半です。
今までは、拡大床・マルチファミリー・ヘッドギアを使用して、歯列を拡大したり、奥歯を後方へ移動させ、永久歯が生えるスペースを作り、その後、ブラケットを装着して歯を配列してきました。
			インビザライン・ファーストでは、それらが同時にできます。
| 
							 拡大床 
  | 
						
							 表側矯正 
  | 
					
ただし、インビザライン・ファーストだけで、永久歯の歯並びが全て完成するわけではありません。多くの場合、永久歯の歯並びを整えるためには、通常のインビザラインや他の矯正装置を使った矯正治療『第Ⅱ期治療』行う必要があります。
メリットとしては、通常の矯正治療にかかる第Ⅱ期治療の期間が短くなります。歯並びによってはインビザライン・ファーストだけできれいな歯並びになり、第Ⅱ期治療が必要ではなくなり、治療費も安く済む事があります。
通常の矯正治療で、でこぼこがある永久歯列を綺麗に並べるためには、スペースを作るために永久歯を抜歯してスペースを作ることが多いです。
			しかし、インビザライン・ファーストで歯列を拡大し、永久歯の生えるスペースができるため、永久歯列の矯正で抜歯をしないで矯正治療ができる可能性が高くなります。
『第Ⅰ期治療』で、永久歯が生えるスペースを作り、並びもよくするので、永久歯列の矯正治療の『第Ⅱ期治療』をスムーズに進めることができるようになります。
前述したように、歯並びの乱れはお子様に色々な悪影響を及ぼします。
			早期に歯列を広げて歯並びをある程度整えることで虫歯や歯肉炎のリスクを減らせます。
インビザライン・ファーストでは、取り外しが可能なので、ほかの装置と比較さして、矯正中の虫歯や歯肉炎になるリスクを更に減らせます。
			歯並びの見た目を美しくすることで、お子様が自分に自信をもてるようになると思います。
乳歯から永久歯の交換時期にあたる7歳から12歳くらいが対象となりますが、歯の萌出状況で判断します。実年齢ではなく、歯牙年齢で判断します。
インビザラインシステムで、具体的に記されている歯牙状況は、『第1大臼歯が完全萌出して、側切歯(真ん中から数えて2番目の歯)の2本が3分の2以上萌出していること』『少なくとも4分の3顎に、乳歯(C、D、E)または未萌出の永久歯(3、4、5)を2歯以上有していること』となっています。

この頃の歯列には、乳歯から永久歯に生え変わる萌出途中の歯があります。
			インビザライン・ファーストでは、その為に以下のような設定が可能です。
① 完全に萌出していない歯の過剰萌出を防ぐ ② 永久歯列が未萌出または萌出途中にある歯に対しては  | 
					
| 
							 a、永久歯の生えるスペースが足りない場合 乳歯列の段階で明らかに歯と歯の間がつまっており、永久歯の生えるスペースが足りない場合が適応となります。  | 
						
							 b、矯正装置の見た目を気にされる患者様 裏側矯正より、痛みが小さく、  | 
					
| 
							 c、矯正中に虫歯になる事がとても心配な患者様 取り外しが可能ですので、  | 
						
							 d、金属アレルギーをお持ちの患者様 拡大床・ブラケット等には、金属アレルギーを引き起こしやすいニッケル(Ni)が含まれています。  | 
					
| 
							 e、矯正中の痛みが心配な患者様 どの装置でも、装着開始時後から数日痛みがありますが、インビザラインは、その痛みが小さいです。  | 
						
							 f、型どりが苦手なお子様も  | 
					
				
			
印象剤という粘土状のものをトレーに盛り、それを口の中で固めます。そこに石膏を注いで歯の型を作ります。同時に上下のかみ合わせのワックスを噛んでもらい、患者様の歯並びとかみ合わせを再現した模型ができます。
| 
							 従来の印象方法 
  | 
						
							 アルジネート印象 
  | 
					
今までの型取りと全く異なる方法です。写真を撮り、それをコンピュータ上で3Dで再現する方法です。お子様の型取りの苦痛(嘔吐反射)が少なく、また型の誤差が小さいです。
| 
							 光学印象(iTero) 
  | 
						
							 光学印象中 
  | 
					
※横にスクロールできます。
| 
							 矯正装置  | 
						
							 
 インビザライン  | 
						
							 
 拡大床  | 
						
							 
 ブラケット矯正  | 
					
|---|---|---|---|
| 
							 適応年齢  | 
						
							 8〜12歳  | 
						
							 7〜10歳  | 
						
							 8〜12歳  | 
					
| 
							 期間  | 
						
							 1〜1年半  | 
						
							 1〜2年  | 
						
							 6カ月〜1年  | 
					
| 
							 目立ちやすさ  | 
						
							 ○  | 
						
							 ○  | 
						
							 ×  | 
					
| 
							 清掃性  | 
						
							 △  | 
						
							 △  | 
						
							 ×  | 
					
| 
							 痛み  | 
						
							 △  | 
						
							 △  | 
						
							 ×  | 
					
| 
							 取り外しの可否  | 
						
							 可  | 
						
							 可  | 
						
							 否  | 
					
| 
							 使用時間  | 
						
							 1日20時間  | 
						
							 就寝中(8時間)  | 
						
							 一度つけたら  | 
					
| 
							 お手入れ  | 
						
							 歯磨き時に洗う  | 
						
							 歯磨き時に洗う  | 
						
							 -  | 
					
| 
							 金属アレルギー  | 
						
							 ○  | 
						
							 △  | 
						
							 ×  | 
					
| 
							 紛失の可能性  | 
						
							 有り(上下で2万)  | 
						
							 有り(上下で5万)  | 
						
							 無し  | 
					
| 
							 治療費  | 
						
							 40万円(税別)  | 
						
							 40万円(税別)  | 
						
							 40万円(税別)  | 
					
どのような治療法にもデメリットがあるように、インビザライン・ファーストにもデメリットは存在します。また、インビザライン・ファーストをご希望されても、インビザライン・ファーストでは改善ができない歯並びもあります。拝見させて頂いて、判断させて頂きます。インビザライン・ファーストのデメリットは、以下のとおりです。
インビザライン・ファーストは、取り外しができるというメリットがあります。しかし、1日20時間以上、毎日装着しないと計画通りに歯は動きません。 小学生の場合、自己管理がまだ難しいため、ご両親様が一緒になって管理する事をお勧めしています。装着時間を守ることが難しい場合は、ほかの矯正装置を使った治療を選択された方が良いです。

患者コンプライアンスという装置をアライナーに付ける事も可能です。
					装着時間に応じて色が変化するようデザインされています。おおよそのアライナー装着時間を確認することができます。
					※ご希望の患者様のみに設置します。費用が2万円(消費税別)がかかります。
インビザライン・ファーストは、上下顎の位置に骨格的な成長の違いがある場合には向いていません。例えば、骨格性の反対咬合が疑われる患者様です。

今後の治療計画をたてるために、セファロ、アイテロといった最新の歯科医療機器を使用して精密に検査します。
顔面・口腔内写真
            印象(光学印象) 
            パノラマレントゲン
            頭部エックス線規格写真(セファロ)
            左手写真
            唾液検査
            口腔内診査(虫歯など)
私達が、検査で採らさせて頂いた資料を元に、医院内で行います。
当院には、二人の矯正専門医がいますので、一人の患者様の治療方針を二人で決定する事により、より良い治療ができると考えています。
      検査をされたレントゲン等を分析します。
分析結果から、治療方針(抜歯・非抜歯)、治療期間、治療費をご説明します。
治療の説明を受けて、ここで治療を中止されても構いません。治療をご希望の方で、抜歯が必要な患者様は、ご予約をして頂きます。基本的には、一本ずつで、当院で抜歯はできます。
アライナーを4つお渡しいたします。
アライナーの使用方法をご説明します。    
      当院では、一番目のアライナーを10日間使用、その後は9日間使用を推奨しています。
顎の成長や歯並びによって治療法や治療計画も異なり、またそれに応じて、治療期間も変わってきます。小児矯正治療は第Ⅰ期治療と第Ⅱ期治療の2つの時期に分かれ、矯正治療を始める時期によっても治療期間が異なります。
			以下の表を参考にされてください。
※横にスクロールできます。
| 
							 年齢  | 
						
							 口の状態  | 
						
							 歯科医院で行うこと  | 
						
							 適齢期  | 
					
|---|---|---|---|
| 
							 3歳(幼稚園)  | 
						
							 乳歯がはえそろう  | 
						
							 口の健康管理が開始可能な年齢  | 
						
							 第Ⅰ期治療  | 
					
| 
							 6歳 小学校入学  | 
						
							 6歳臼歯がはえる  | 
						
							 通常 第Ⅰ期治療を開始する年齢  | 
					|
| 
							 8歳  | 
						
							 前歯の4本がはえそろう  | 
						
							 この時期までには第Ⅰ期治療を開始したい年齢  | 
					|
| 
							 10歳  | 
						
							 横の乳歯が交換を始める  | 
						||
| 
							 12歳 中学校入学  | 
						
							 乳歯の交換が終わる  | 
						
							 第Ⅱ期治療が開始可能な年齢  | 
						
							 第Ⅱ期治療  | 
					
| 
							 15歳 高校入学  | 
						
							 永久歯が完全にはえそろう  | 
						||
| 
							 18歳 高校卒業  | 
						
							 親知らずの抜歯を検討する年齢  | 
					
では、実際の治療費についてご説明します。
| 
							 1、検査・診断料  | 
					|
|---|---|
| 
							 2万円  | 
					|
| 
							 2、基本施術料  | 
					|
| 
							 乳歯と永久歯が混在している  | 
						
							 40万円  | 
					
| 
							 永久歯交換後(第Ⅱ期治療)  | 
						
							 表側矯正に移行  | 
					
| 
							 3、調整料・観察料  | 
					|
| 
							 1~3ヵ月おきに  | 
						
							 5万円  | 
					
| 
							 総額  | 
						
							 47万円(税抜)  | 
					
| 
							 医療費控除  | 
						
							 -5〜10万円  | 
					
| 
							 実際にかかる治療費  | 
					
							 45万円(税込)  | 
					
				
			
※装置を紛失されると、別途費用がかかります。
			※医療費控除は患者様によって変わりますので、仮で6万円としています。
			※永久歯交換後に『第Ⅱ期治療』に移行した場合、別途以下の治療費がかかります。以下の費用以外に、調整料・観察料がかかります。

インビザライン・ファーストは、本格的な矯正治療の前段階として行う、小学生向けのマウスピース型矯正装置です。インビザライン・ファーストを使用する事で、永久歯が生えるスペースを作り、歯並びを整えていくための土台づくりができます。
透明なマウスピース装置で取り外しができるため、簡単に使用できるように感じますが、装着時間(1日20時間)を守る必要があり、およそ1年半の間使い続けなくてはなりません。お子様の協力が必要不可欠です。
もちろん、他の矯正治療もご提案いたしますので、その上で治療方法を決めて頂ければと思います。
                        
                        
                        
                        
                        
                        
                        
                        
                        
                        
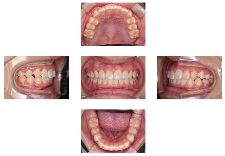
                年齢・性別  | 
                                11歳0ヶ月 | 
|---|---|
主訴  | 
                                叢生(混合歯列期からのインビザライン矯正) | 
装置  | 
                                インビザラインファースト | 
期間  | 
                                4年2カ月(第2大臼歯の萌出を経過観察中) | 
治療費  | 
                                44万円(消費税抜き) | 
リスク副作用  | 
				歯肉退縮、ブラックトライアングル、歯根吸収、歯髄壊死等 | 
                        
                        
                        
                        
                        
                        
                        
                        
                        
                        
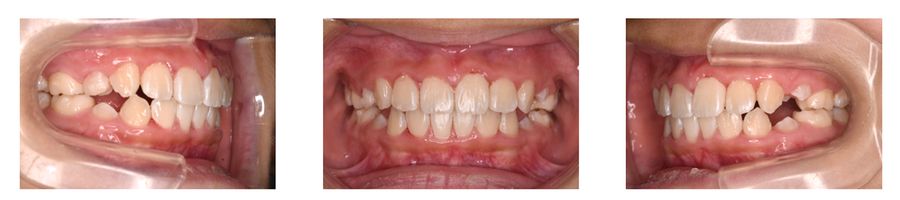
                年齢・性別  | 
                                9歳6ヶ月 | 
|---|---|
主訴  | 
                                叢生(混合歯列期からのインビザライン矯正) | 
装置  | 
                                インビザラインファースト(適宜乳歯スライスカット) | 
期間  | 
                                4年0カ月(第2大臼歯の萌出を経過観察中) | 
治療費  | 
                                44万円(消費税抜き) | 
リスク副作用  | 
				歯肉退縮、ブラックトライアングル、歯根吸収、歯髄壊死等 | 
〒116-0003 東京都荒川区南千住4-7-1 BiVi南千住2階