東京都荒川区南千住4-7-1 BiVi南千住2階 南千住駅すぐの矯正歯科

ムーシールドとは、受け口(反対咬合)を改善する装置です。
主に就寝時につけることで、舌や口腔周囲筋の正しい動かし方・位置付けを獲得し、正常な咬合を妨げる習癖(舌突出癖、低位舌など)を改善し、反対咬合を改善します。受け口の状態が続くと、上顎骨の成長が妨げられてしまうため、正常な上下顎骨の前後的な位置関係は獲得しにくくなります。そのため、早期に治療を開始する必要があります。
ムーシールドの治療の目的は、乳歯列期の反対咬合を改善することにより永久歯の交換を正常に誘導していきます。装置は違和感が少なく、装着も簡単なためお子さんの負担があまりありません。
当院では、ムーシールドを使用した受け口の早期改善をすすめております。

4歳ぐらいから使用されると良いです。就寝時に使用します。大きい装置ですので、最初の1カ月は、朝までお口の中に入れておけない事があります。徐々に慣れてきます。小児期の受け口は、舌の位置が低く、下顎を前に押し出すように筋肉の圧力が働きます。ムーシールドの装着で舌の位置を上げ、口の周りの筋肉を正常化することで、上顎の成長を促し、下顎の成長を抑える効果があります。
これらの機能により、「歯並びを整える」というのではなく、「子供の顎の成長を利用して、上下の歯の咬み合わせの関係を正常なものにしようとさせる」という目的で使用するものです。
しかしこの装置で将来にわたって100%咬み合わせ異常が改善されるわけではありません。小学校に入学されたあたりから、再び装置を使った矯正に移行することも多いです。そのような場合でも早くから矯正を始めておくと、無理なく矯正治療が進みますので、3歳頃から矯正治療をご相談されることをお勧めします。
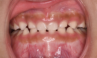
| 治療前 | 治療後 | |
|---|---|---|
![]() |
治療後 | ![]() |
主訴 |
反対咬合 |
|---|---|
年齢 |
4歳3ヵ月 |
期間 |
8カ月後 |
治療費 |
55,000円 |
ムーシールドで治療された患者様です。
とても良く使用され4カ月で反対咬合が改善しました。
その後、毎晩の使用から、一日置き、2日置き、週2回の使用にして、定期検診しています。
乳歯列の反対咬合は、一度改善されても、永久歯萌出後、あるいは成長に伴い、また反対咬合になることもあり、長期にわたり検診が必要です。特に、遺伝性がある場合は、注意が必要です。
| 治療前 | 治療後 | |
|---|---|---|
![]() |
治療後 | ![]() |
主訴 |
反対咬合 |
|---|---|
年齢 |
4歳8ヵ月 |
期間 |
- |
治療費 |
準備中 |
| スタート(4歳8カ月) | 治療中(4歳10カ月) | |
|---|---|---|
![]() |
治療中(4歳10カ月) | ![]() |
| 治療中(6歳1カ月) | 治療後(6歳4カ月) | |
![]() |
治療後(6歳4カ月) | ![]() |
| 治療前 | 治療後 | |
|---|---|---|
![]() |
治療後 | ![]() |
主訴 |
反対咬合 |
|---|---|
年齢 |
4歳9ヵ月 |
期間 |
1年10カ月 |
治療費 |
60,500円(装置55,000円 観察料一回あたり1,100円) |
| スタート(4歳9カ月) | 治療中(5歳5カ月) | |
|---|---|---|
![]() |
(5歳5カ月) | ![]() |
| 治療後(6歳7カ月) | ||
![]() |
〒116-0003 東京都荒川区南千住4-7-1 BiVi南千住2階