東京都荒川区南千住4-7-1 BiVi南千住2階 南千住駅すぐの矯正歯科


そう生とは、歯がでこぼこに並んでいる状態で、乱ぐい歯とも言われます。
八重歯、二枚歯もそう生の一種です。あごの広さと歯の大きさのバランスが悪いため、狭いあごに歯がきれいに並ばず、でこぼこに重なりあってしまいます。
・ヘッドギア
・ マルチファミリー
・ 拡大床
・ クアッドヘリックスとバイヘリックス
・ 急速拡大装置
ヘッドギアは、奥歯を後ろに移動させる装置です。
それ以外は拡大装置です。拡大する事により、第Ⅱ期治療で非抜歯で治療できるようにします。がたがたが大きく非抜歯で治療を行うのが難しいと予想される歯並びの場合、抜歯しての治療をお勧めします。それでもなんとか歯を抜かずに治されたい場合、急速拡大装置を使用します。

・表側矯正
・裏側矯正
・マウスピース治療(インビザライン)
抜歯治療 (上下顎左右4本抜歯)
赤い歯を抜歯します。一般的には、上下顎左右第1小臼歯を抜歯する事が多いですが、上顎第2小臼歯、下顎第2小臼歯を抜歯する事もあります。 虫歯の状況によっては、将来的に抜歯になってしまう事が予想される場合、その歯を抜歯する事もあります。 |
非抜歯治療
① 拡大 ② 奥歯の遠心移動 ③ I.P.R.(スライス) |
目次
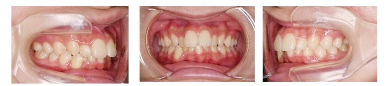
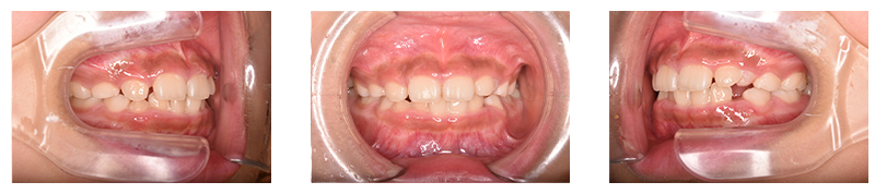
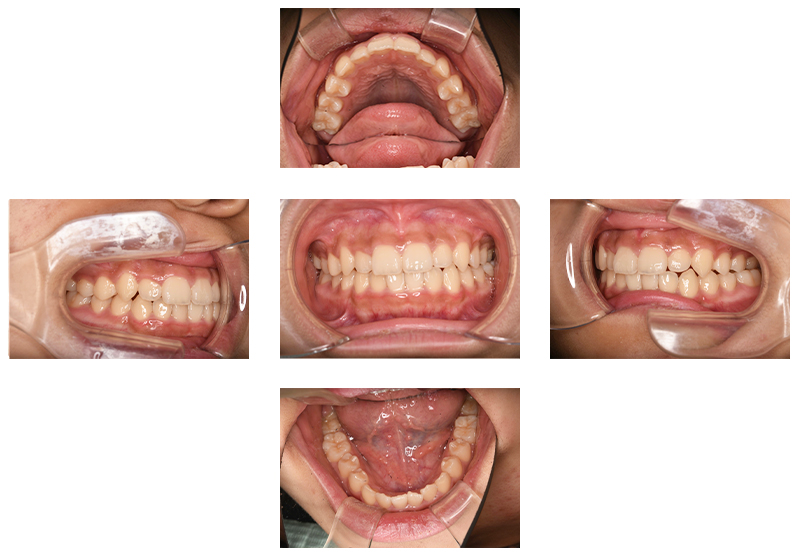
年齢 |
15歳9ヶ月男性 |
|---|---|
主訴 |
歯並びが気になる |
装置 |
マルチブラケット装置 |
期間 |
1年2ヶ月 |
治療費 |
59.9万円(消費税抜き) |
リスク副作用 |
歯肉退縮、ブラックトライアングル、歯根吸収、歯髄壊死等 |
飯田先生の症例説明
学校検診にて歯並びを指摘され来院された患者様です。今回は非抜歯にて治療しているため、全顎的な治療ですが約1年で終了しています。一般的に非抜歯での治療期間は約1年から1年半程度を目安に考えていただけたら幸いです。治療終了後は保定装置の着用が非常に大切になります。
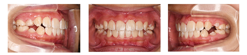
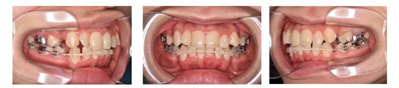
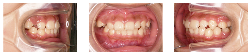
年齢 |
24歳3ヶ月女性 |
|---|---|
主訴 |
上の歯が出ている、歯のでこぼこ、奥歯の噛み合わせ |
装置 |
マルチブラケット装置 |
期間 |
2年11ヶ月 |
治療費 |
79.2万円(消費税抜き) |
リスク副作用 |
歯肉退縮、ブラックトライアングル、歯根吸収、歯髄壊死等 |
飯田先生の症例説明
口元を下げたいという主訴で来院された患者様です。以前他院にて小児矯正を行い歯列を拡大したとのことです。口元の突出感を改善するため、上下左右第一小臼歯を抜歯し、インプラントアンカーを併用して前歯を下げています。子供の頃に非抜歯で矯正治療行い、大人になってから口元の突出感が気になり抜歯して再矯正を行う方も少なくありません。患者様の希望に応じて治療方針を決定いたしますのでお気軽にご相談ください。
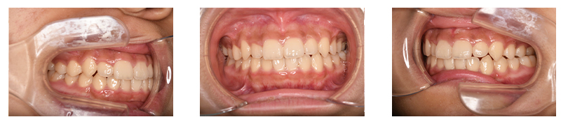
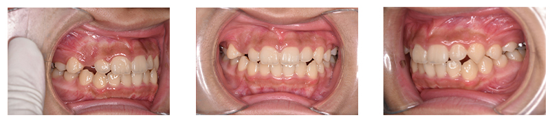
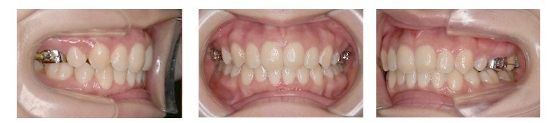
年齢 |
10歳1ヶ月女性 |
|---|---|
主訴 |
歯のでこぼこ |
装置 |
E.O.A.、マルチブラケット装置 |
期間 |
3年 |
治療費 |
77.6万円(消費税抜き) |
リスク副作用 |
歯肉退縮、ブラックトライアングル、歯根吸収、歯髄壊死等 |
飯田先生の症例説明
歯のでこぼこを主訴に来院された患者様です。下顎の前歯が1本欠損かつ癒合歯が見られます。上顎の永久歯が生えるスペースが不足しているため、E.O.A.にて奥歯を後方へ移動させています。この装置を適切に使用していただくことで、永久歯に生え変わったのちスムーズにワイヤーの治療へと移行することが可能です。また子供の時期から治療をスタートすることで、歯を抜くことなく治療が完了いたしました。
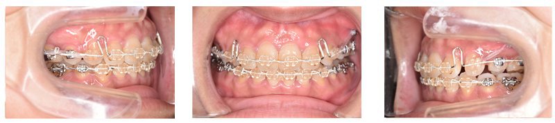
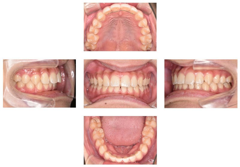
年齢 |
24歳7ヶ月女性 |
|---|---|
主訴 |
上の歯が出ている、歯のでこぼこ、前歯が噛み合わない、口元が出ている |
装置 |
マルチブラケット装置 |
期間 |
2年1ヶ月 |
治療費 |
73.7万円(消費税抜き) |
リスク副作用 |
歯肉退縮、ブラックトライアングル、歯根吸収、歯髄壊死等 |
飯田先生の症例説明
口元の突出感を主訴に来院された患者様です。口元の改善をするために上下左右第一小臼歯を抜歯しています。上顎の奥歯には、歯を効率よく牽引するために矯正用インプラントアンカーを併用しています。マルチブラケット装置による治療が終了後は取り外し可能な保定装置にて歯並びをキープしていきます。当院では装置を外してから1年間は毎日の使用を推奨しております。
年齢 |
13歳5ヶ月男性 |
|---|---|
主訴 |
叢生、 他院でⅠ期治療後当院へ転院希望 |
装置 |
カリエール インビザライン |
期間 |
1年2カ月(現在7番の萌出待ち) |
治療費 |
85.4万円(消費税別) |
リスク副作用 |
歯肉退縮、三角空隙、歯根吸収、歯髄壊死 等 |
飯田先生の症例説明
10代の矯正はマルチブラケットによるワイヤー矯正が主流ですが、マウスピース矯正を希望されて他院から転院された患者様です。カリエールを6カ月使用し、犬歯から臼歯部を遠心移動後、インビザラインで歯列を整えました。7番の萌出を確認し、保定装置へと移行する予定です。
年齢 |
9歳6ヶ月男性 |
|---|---|
主訴 |
叢生 |
装置 |
インビザライン |
期間 |
2年2ヶ月(現在7番の萌出待ち) |
治療費 |
99.5万円(消費税別) |
リスク副作用 |
歯肉退縮、三角空隙、歯根吸収、 歯髄壊死 等 |
飯田先生の症例説明
混合歯列期からのマウスピース矯正を希望され、当院に来院いただいた患者様です。乳歯の永久歯への交換に合わせて再印象を数回行い、1日20時間を目安にマウスピースを装着し歯列を整えました。7番の萌出を確認後インビザラインでの治療を再開する予定です。
年齢 |
28歳女性 |
|---|---|
主訴 |
叢生、前突 |
装置 |
マルチブラケット装置 矯正用インプラント |
期間 |
2年4ヶ月 |
治療費 |
70.7万円(消費税別) |
リスク副作用 |
歯肉退縮、三角空隙、歯根吸収、 歯髄壊死 等 |
飯田先生の症例説明
口元が出ており、歯並びがデコボコでかみ合わないことを主訴に来院された患者様です。上下左右の第一小臼歯を抜歯しマルチブラケット装置による矯正治療を行いました。抜歯の際に上顎には犬歯の遠心移動のために使用する矯正用インプラントの埋入も行い、効果的に口元を下げました。また、口を開けた際に抜歯したスペースが気になるとのことでしたので、仮歯を付与しました。治療後は、上下とも前歯部には舌側に固定式保定装置を装着し、夜間のみを使用していただいています。
年齢 |
25歳女性 |
|---|---|
主訴 |
叢生 |
装置 |
マルチブラケット装置 矯正用インプラント パラタルバー |
期間 |
2年10ヶ月 |
治療費 |
110.2万円(消費税別) |
リスク副作用 |
歯肉退縮、三角空隙、歯根吸収、 歯髄壊死 等 |
飯田先生の症例説明
でこぼこの歯並びを主訴に来院された患者様です。見えない矯正をご希望でしたが、マウスピースは自己管理が難しそうとのことでしたので、上顎のみ裏側に装置をつけるハーフリンガル矯正を行いました。上下左右の第一小臼歯を抜歯しマルチブラケット装置による矯正を行いました。正常な臼歯部の噛み合わせのために顎間ゴムも使用して頂きました。治療後は、上下とも前歯部には舌側に固定式保定装置を装着し、夜間のみマウスピース型の保定装置を使用していただいています。
年齢 |
11歳男性 |
|---|---|
主訴 |
叢生 |
装置 |
マルチブラケット装置 ナンスのホールディングアーチ |
期間 |
1年11ヶ月 |
治療費 |
71.9万円(消費税別) |
リスク副作用 |
歯肉退縮、三角空隙、歯根吸収、 歯髄壊死 等 |
飯田先生の症例説明
でこぼこの歯並びを主訴に来院された患者様です。初診時に第二乳臼歯が残存していたのでホールディングアーチでスペースを確保しつつマルチブラケット装置で叢生を改善しました。治療後は、上下とも前歯部には舌側に固定式保定装置を装着し、夜間のみリテーナーを使用していただいています。
年齢 |
26歳女性 |
|---|---|
主訴 |
叢生 切端咬合 一部反対咬合 |
装置 |
マルチブラケット装置 矯正用インプラント パラタルバー |
期間 |
2年5ヶ月 |
治療費 |
76万円(消費税別) |
リスク副作用 |
歯肉退縮、三角空隙、歯根吸収、 歯髄壊死 等 |
飯田先生の症例説明
でこぼこの歯並びを主訴に来院された患者様です。虫歯の治療をした処置歯も多く、上下顎の前後的バランスから上は5番目、下は4番目の歯を抜歯してマルチブラケット装置による矯正を行いました。正中のずれも大きかったので矯正の終盤には顎間ゴムも使用して頂きました。治療後は、上下顎ともに舌側に固定式保定装置を装着し、夜間のみリテーナーを使用していただいています。
年齢 |
26歳女性 |
|---|---|
主訴 |
叢生 上顎前突 |
装置 |
マルチブラケット装置 矯正用インプラント |
期間 |
2年7ヶ月 |
治療費 |
74.3万円(消費税別) |
リスク副作用 |
歯肉退縮、三角空隙、歯根吸収、 歯髄壊死 等 |
飯田先生の症例説明
でこぼこの歯並びを主訴に来院された患者様です。虫歯の治療をした処置歯も多く、上下顎の前後的バランスから上は5番目、下は4番目の歯を抜歯してマルチブラケット装置による矯正を行いました。正中のずれも大きかったので矯正の終盤には顎間ゴムも使用して頂きました。治療後は、上下顎ともに舌側に固定式保定装置を装着し、夜間のみリテーナーを使用していただいています。
年齢 |
15歳女性 |
|---|---|
主訴 |
叢生 上顎前突 |
装置 |
マルチブラケット装置 ナンスのホールディングアーチ |
期間 |
2年0ヶ月 |
治療費 |
72.2万円(消費税別) |
リスク副作用 |
歯肉退縮、三角空隙、歯根吸収、 歯髄壊死 等 |
飯田先生の症例説明
でこぼこの歯並びと出っ歯を主訴に来院された患者様です。奥歯の近心移動防止のためにホールディングアーチを装着し、上下左右4本抜歯してマルチブラケット装置による矯正を行いました。治療後は、上下顎ともに舌側に固定式保定装置を装着し、夜間のみマウスピース型リテーナーを使用していただいています。
年齢 |
23歳女性 |
|---|---|
主訴 |
矯正の後戻り 叢生 |
装置 |
インビザライン |
期間 |
3年0ヶ月 |
治療費 |
75.4万円(消費税別) |
リスク副作用 |
歯肉退縮、三角空隙、歯根吸収、 歯髄壊死 等 |
飯田先生の症例説明
小学生の頃におこなった歯科矯正の後戻りを主訴にご来院された患者様です。その際に上顎の小臼歯は左右ともに1本ずつ先天性欠如だったそうで、下顎左右の第一小臼歯を抜歯し、矯正を行ったとのことでした。1日20時間を目安にマウスピースを装着して頂き、適宜前歯部のIPRを行い歯列を整えていきました。最後の1年ほどは臼歯部のしっかりとした噛み合わせを作るために顎間ゴムを使用して頂きました。治療後は、夜間のみマウスピース型リテーナーを使用していただいています。
年齢 |
9歳女性 |
|---|---|
主訴 |
八重歯、叢生 |
装置 |
マルチブラケット装置、 ナンスのホールディングアーチ、 矯正用インプラント |
期間 |
2年6ヶ月 |
治療費 |
72.5万円(消費税別) |
リスク副作用 |
歯肉退縮、三角空隙、歯根吸収、 歯髄壊死 等 |
飯田先生の症例説明
右上の八重歯と下顎の前歯の凸凹を主訴に来院された患者様です。上下左右4本抜歯してマルチブラケット装置による矯正を行いました。ホールディングアーチを併用し、犬歯の遠心移動の固定源は矯正用インプラントを使用しました。治療後は、上下顎ともに舌側に固定式保定装置を装着し、夜間のみリテーナーを使用していただいています。
年齢 |
12歳男性 |
|---|---|
主訴 |
叢生 |
装置 |
ナンスのホールディングアーチ、 E.O.A.、マルチブラケット装置 |
期間 |
3年0ヶ月 |
治療費 |
73.4万円(消費税別) |
リスク副作用 |
歯肉退縮、三角空隙、歯根吸収、 歯髄壊死 等 |
飯田先生の症例説明
「歯並びが悪い」と来院された患者様です。レントゲンを撮って確認すると上顎の側切歯の位置に重なるように犬歯が埋伏しており、埋伏部の歯肉と歯槽骨を除去し牽引することになりました。夜間就寝時にはE.O.A.も使用し、マルチブラケット装置による矯正を行いました。治療後は、上下顎ともに舌側に固定式保定装置を装着し、夜間のみマウスピース型のリテーナーを使用していただいています。
年齢 |
30歳女性 |
|---|---|
主訴 |
上顎側切歯の先天性欠損および叢生 |
装置 |
マルチブラケット装置 |
期間 |
3年0ヶ月 |
治療費 |
74.0万円(消費税別) |
リスク副作用 |
歯肉退縮、三角空隙、歯根吸収、 歯髄壊死 等 |
飯田先生の症例説明
「永久歯が元々少なく、乳歯が残っている」と来院された患者様です。上顎の前から2番目の側切歯という歯が先天的に欠損しており、その影響で乳歯が抜けず残っている状態でした。上の歯が通常より2本少ない分、反対咬合になっていましたので、下顎も上顎委に合わせて2本抜歯し、左上に残っていた乳犬歯も抜歯しました。マルチブラケット装置による歯列矯正を行い、治療後は、上下顎ともに舌側に固定式保定装置を装着し、夜間のみリテーナーを使用していただいています。
年齢 |
20歳女性 |
|---|---|
主訴 |
歯の凸凹、出っ歯、左下奥歯の傾斜 |
装置 |
マルチブラケット装置、 矯正用インプラント |
期間 |
2年9ヶ月 |
治療費 |
77.5万円(消費税別) |
リスク副作用 |
歯肉退縮、三角空隙、歯根吸収、 歯髄壊死 等 |
飯田先生の症例説明
「左下は親知らずが重なって生えてきて歯が倒れてしまった」「凸凹が気になる、出っ歯が気になる」という主訴の患者様です。左下の親知らずはご来院前に他院で抜歯していらっしゃいました。歯並びのガタガタも大きいので上下左右とも4番目の歯を抜歯し、上顎には矯正用インプラントも埋入し、マルチブラケット装置による歯列矯正を行いました。治療後は、上下顎ともに舌側に固定式保定装置を装着し、夜間のみマウスピース型のリテーナーを使用していただいています。
年齢 |
13歳1ヶ月男性 |
|---|---|
主訴 |
歯の凸凹 |
装置 |
インビザライン、顎間ゴム、 マルチブラケット装置(下のみ) |
期間 |
2年9ヶ月 |
治療費 |
92.2万円(消費税別) |
リスク副作用 |
歯肉退縮、三角空隙、歯根吸収、 歯髄壊死 等 |
飯田先生の症例説明
10代の矯正はマルチブラケットによるワイヤー矯正が主流ですが、金属アレルギーの疑いがあるとのことで、マウスピース矯正を希望されて来院された患者様です。上下4番目の歯を抜歯しインビザラインでの歯列矯正を行うことになりました。まず初めに、左の八重歯の程度が大きかったので、遠心方向へ数カ月牽引しました。その後インビザラインでの歯列を整えました。治療の終盤には顎間ゴムも使用していただきました現在は夜のみマウスピース型のリテーナーを使用して頂いております。
年齢 |
33歳女性 |
|---|---|
主訴 |
叢生 |
装置 |
マルチブラケット装置、 矯正用インプラント |
期間 |
2年7ヶ月 |
治療費 |
75.0万円(消費税別) |
リスク副作用 |
歯肉退縮、三角空隙、歯根吸収、 歯髄壊死 等 |
飯田先生の症例説明
上の前歯が重なっていることを主訴に来院された患者様です。口元を下げるために上下左右4本抜歯して矯正用インプラントも埋入、マルチブラケット装置による矯正を行いました。治療後は、上下顎ともに舌側に固定式保定装置を装着し、夜間のみマウスピース型リテーナーを使用していただいています。
年齢 |
8歳9カ月女性 |
|---|---|
主訴 |
叢生 右上犬歯の萌出スペースがない |
装置 |
拡大床 クワッドヘリックス E.O.A. リンガルアーチ |
期間 |
4年0カ月 |
治療費 |
52.9万円(消費税別) |
リスク副作用 |
副作用:歯肉退縮 三角空隙 歯根吸収 歯髄壊死 等 |
飯田先生の症例説明
乳犬歯の早期脱落により、犬歯の萌出スペースがほとんどない状態でご来院いただいた患者様です。
非抜歯での矯正を強く希望され、拡大床やクワッドヘリックスで歯列弓を拡大、E.O.Aで第一大臼歯の遠心移動を行いました。
乳歯のスライスカットや計画的な抜歯を行い、ブラケットを装着せず永久歯列を整えました。
〒116-0003 東京都荒川区南千住4-7-1 BiVi南千住2階