東京都荒川区南千住4-7-1 BiVi南千住2階 南千住駅すぐの矯正歯科


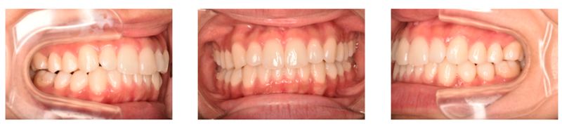
一般的に出っ歯などと呼ばれてます。
上の前歯や上あごの骨が前に出ている状態や、(上あごが出ているのではなく)下あごが 後ろに入ってしまっている状態、あるいはその両方が同時に起きている状態を、上顎前突(じょうがくぜんとつ)といいます。
笑うと前歯の歯ぐきが出てしまう ガミースマイルになる場合もあります。

上記参考画像:左側の上顎前突は明らかに「出っ歯」とわかりやすいと思いますが、右側のような上顎前突は、わかりづらいです。見かけ状は、上顎前突に見えません。上の歯が、舌側に倒れこんでいます。
一般的に言われている事が、左側の上顎前突は口呼吸を伴い口を閉じられず、口のまわりの筋肉(口輪筋)が弱いために歯が出てしまいます。上と下の前歯の間に下唇が入るようになり、上の前歯は更に出てしまいます。口唇を閉じようとすると、オトガイに緊張が出来ます。いわゆる梅干様です。

それに対して、右側の上顎前突は、鼻呼吸ができ、口唇を閉鎖でき口輪筋が発達しているので、上の前歯が舌側に押され、舌側傾斜します。見かけ状、出っ歯には見えませんが、上の前歯にそう生と過蓋咬合を伴う事が多いです。
このように、様々な上顎前突があり、骨格と歯が原因の場合があります。
骨格性としては ① 上顎骨が出ている |
歯性としては Ⓐ 上顎前歯が外側に傾斜している(唇側傾斜) |
つまり、出っ歯は上記の組み合わせからなるため、様々な出っ歯が考えられるのです。
これらを診断する為に、セファロ分析が必要なのです。
・ヘッドギア
・ マルチファミリー
・ 拡大床
・ バイオネーター
ヘッドギアは、上顎の成長を抑制、奥歯を後ろに移動させる装置です。マルチファミリーとバイオネーターは、拡大して下顎を前方に成長促進させる装置です。
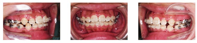
・表側矯正
・裏側矯正
・インビザラインで治療
抜歯治療 (上下顎左右4本抜歯)
赤い歯を抜歯します。一般的には、上下顎左右第1小臼歯を抜歯する事が多いですが、上顎第2小臼歯、下顎第2小臼歯を抜歯する事もあります。 虫歯の状況によっては、将来的に抜歯になってしまう事が予想される場合、その歯を抜歯する事もあります。 |
抜歯治療 (上顎左右2本のみ抜歯)
上顎前突が顕著な場合、上顎のみ抜歯して下顎は非抜歯の事もあります。基本的には、抜歯して治療すると、前歯は引っ込みます。 従って、下顎を抜歯すると、下の前歯も引っ込みすぎてしまいます。矯正用インプラントを使用する事が多いです。 |
非抜歯治療 表側矯正、裏側矯正 ① ヘッドギアにより奥歯を後方へ移動 マウスピース治療(インビザライン) インビザラインは、奥歯を後方に移動できます。
|
|
目次
年齢・性別 |
22歳1ヶ月女性 |
|---|---|
主訴 |
上の歯が出ている |
装置 |
インビザライン |
期間 |
3年 |
治療費 |
92.6万円(消費税抜き) |
リスク副作用 |
歯肉退縮、ブラックトライアングル、歯根吸収、歯髄壊死等 |
飯田先生の症例説明
上顎の突出感を主訴に来院された患者様です。今回は抜歯を希望されなかったため非抜歯で治療を行っています。歯を並べるスペースを作るために前歯の隙間を少し削合しています。この患者様は矯正治療終了後にホワイトニングを行っています。当院で矯正治療をされた方のホワイトニングは割引が適応されますのでご検討ください。
年齢・性別 |
28歳3ヶ月女性 |
|---|---|
主訴 |
出っ歯、八重歯 |
装置 |
インビザライン |
期間 |
3年2ヶ月 |
治療費 |
93.3万円(消費税抜き) |
リスク副作用 |
歯肉退縮、ブラックトライアングル、歯根吸収、歯髄壊死等 |
飯田先生の症例説明
出っ歯と八重歯が気になると来院された患者様です。マウスピース矯正を希望されていたため、インビザラインにて治療を行いました。今回は上顎両側第一小臼歯抜歯、下顎は歯を並べるスペースを作るために前歯の隙間を削合しています。ガタガタの大きな歯並びでしたが、出っ歯も改善し綺麗な歯並びに改善しました。現在は後戻り防止用のマウスピースを就寝時に使用していただいています。
年齢・性別 |
12歳10ヶ月女性 |
|---|---|
主訴 |
上の歯が出ている、歯のでこぼこ、前歯が噛み合わない |
装置 |
マルチブラケット装置 |
期間 |
1年7ヶ月 |
治療費 |
71.7万円(消費税抜き) |
リスク副作用 |
歯肉退縮、ブラックトライアングル、歯根吸収、歯髄壊死等 |
槇本先生の症例説明
歯のガタガタと前突感を主訴に来院された患者様です。上下両側第一小臼歯を抜歯しています。上顎には奥歯の固定のためにホールディングアーチを併用しています。治療の後半には噛み合わせを作るためにご自身で顎間ゴムを取り外しして頂きました。抜歯ケースですが2年以内で終了しています。
年齢・性別 |
14歳11ヶ月女性 |
|---|---|
主訴 |
上の歯が出ている、歯のでこぼこ |
装置 |
マルチブラケット装置 |
期間 |
2年 |
治療費 |
73.4万円(消費税抜き) |
リスク副作用 |
歯肉退縮、ブラックトライアングル、歯根吸収、歯髄壊死等 |
槇本先生の症例説明
出っ歯と歯のでこぼこを主訴に来院された患者様です。上顎両側第一小臼歯の抜歯をいたしました。奥歯の固定を強固にするために上顎の裏側にはホールディングアーチを併用しています。犬歯を牽引後前歯を引っ込めています。終了時には出っ歯が改善し、前歯でものが噛み切れるようになりました。
年齢・性別 |
20歳4ヶ月女性 |
|---|---|
主訴 |
上の歯が出ている |
装置 |
マルチブラケット装置(上顎は舌側、下顎は頬側) |
期間 |
3年5ヶ月 |
治療費 |
114.4万円(消費税抜き) |
リスク副作用 |
歯肉退縮、ブラックトライアングル、歯根吸収、歯髄壊死等 |
飯田先生の症例説明
上顎の歯が出ていることを主訴に来院されました。目立ちにくい装置をご希望のため、今回はハーフリンガル(上顎は裏側、下顎は頬側のワイヤー)にて治療を行っています。上顎両側第一小臼歯を抜歯しています。ワイヤーでの治療終了後はマウスピースにて微調整を行いました。ハーフリンガルのメリットとしては目立ちにくいことが挙げられますが、デメリットとして装置が取れやすかったり食べ物が挟まりやすかったりすることがあります。
年齢・性別 |
8歳0ヶ月男性 |
|---|---|
主訴 |
上の歯が出ている |
装置 |
マルチファミリー |
期間 |
10ヶ月(現在も経過観察中) |
治療費 |
43.5万円(消費税抜き)〜 |
リスク副作用 |
歯肉退縮、ブラックトライアングル、歯根吸収、歯髄壊死等 |
槇本先生の症例説明
上の歯が出ていることを主訴に来院された患者様です。夜間就寝時にマルチファミリーを使用して頂き歯並び及び噛み合わせを治療しています。主訴であった前歯の突出感は10ヶ月で改善、その後は永久歯に生え変わるのを経過観察となっています。小児期から治療を開始すると負担の少ない装置で治療を行うことが可能です。
年齢・性別 |
20歳1ヶ月 |
|---|---|
主訴 |
上の歯が出ている |
装置 |
マルチブラケット装置 |
期間 |
2年10ヶ月 |
治療費 |
78.9万円(消費税抜き) |
リスク副作用 |
歯肉退縮、ブラックトライアングル、歯根吸収、歯髄壊死等 |
槇本先生の症例説明
上顎の前突を主訴に来院された患者様です。口元の突出を改善したいとの希望により、上顎は両側第一小臼歯、下顎は両側第二小臼歯を抜歯しています。マルチブラケット装置にて治療を行っております。抜歯を伴う矯正治療の場合は平均して2年半から3年程度の期間となります。その間、引越しなどにより万が一転院が必要となる場合、治療の進行の程度によって返金させていただく場合がございますのでお早めにご連絡をいただけますと幸いです。
年齢・性別 |
21歳8ヶ月女性 |
|---|---|
主訴 |
上の歯が出ている、歯のでこぼこ |
装置 |
マルチブラケット装置 |
期間 |
2年6ヶ月 |
治療費 |
80.9万円(消費税抜き) |
リスク副作用 |
歯肉退縮、ブラックトライアングル、歯根吸収、歯髄壊死等 |
飯田先生の症例説明
上の歯が出ている、歯のガタガタを主訴に来院された患者様です。上顎は両側第一小臼歯、下顎は右側のみ第一小臼歯を抜歯しています。マルチブラケット装置で治療を行い、矯正用インプラントアンカーを併用し前歯を効率よく牽引しています。インプラントアンカーから牽引することで抜歯したスペースをしっかりと後方へ引っ込めることが可能です。
年齢・性別 |
14歳3ヶ月 |
|---|---|
主訴 |
上の歯が出ている、歯のガタガタ |
装置 |
インビザライン |
期間 |
2年10ヶ月 |
治療費 |
91.9万円(消費税抜き) |
リスク副作用 |
歯肉退縮、ブラックトライアングル、歯根吸収、歯髄壊死等 |
飯田先生の症例説明
歯のガタガタを主訴に来院された患者様です。マウスピースタイプの装置を希望されていたため、インビザラインにて治療を行いました。上顎前歯が突出しており、上顎両側第一小臼歯の抜歯、下顎は非抜歯としています。下顎は歯を抜かない分、歯を並べるスペースを作るために前歯の間を少量削合しています。インビザラインは目立ちにくく、歯磨きも行いやすいため虫歯などのリスクが少ないというメリットがあります。1日20時間以上の装着により治療がスムーズに進行するため、患者様のご協力がとても大切になります。
年齢・性別 |
25歳7ヶ月女性 |
|---|---|
主訴 |
上の歯が出ている、歯のでこぼこ、前歯が噛み合わない |
装置 |
インビザライン |
期間 |
3年〜現在治療中 |
治療費 |
92.6万円(消費税抜き)〜 |
リスク副作用 |
歯肉退縮、ブラックトライアングル、歯根吸収、歯髄壊死等 |
槇本先生の症例説明
前歯が噛み合わず、ガタガタを主訴に来院された患者様です。骨格的に傾きがあるため、上下左右第一小臼歯を抜歯しインビザラインにて治療を行いました。下顎は抜歯したスペースを閉じるために、一時的にマルチブラケット装置を併用しています。奥歯の噛み合わせを良くするためにご自身で取り外しを行う顎間ゴムを使用して頂きました。現在も治療を行っていますが、あと数ヶ月で終了予定です。
年齢・性別 |
23歳1ヶ月女性 |
|---|---|
主訴 |
上の歯が出ている、舌が下に下がる、気がつくと上下の歯がくっついている |
装置 |
インビザライン、 マルチブラケット装置 |
期間 |
1年9ヶ月〜現在も治療中 |
治療費 |
87.4万円(消費税抜き) |
リスク副作用 |
歯肉退縮、ブラックトライアングル、歯根吸収、歯髄壊死等 |
槇本先生の症例説明
上の歯が出ていることを主訴に来院された患者様です。上下左右第一小臼歯を抜歯し、インビザラインにて治療しています。下顎は一時的にマルチブラケット装置をつけ、抜歯したスペースをある程度閉じてからインビザラインに移行しています。ワイヤーの装置を併用することで効率よく治療を進めることが可能です。現在も治療中ですが良好な経過となっています。
年齢・性別 |
24歳5ヶ月女性 |
|---|---|
主訴 |
上の歯が出ている、口元が出ている |
装置 |
マルチブラケット装置、 矯正用インプラントアンカー |
期間 |
2年5ヶ月 |
治療費 |
80.2万円(消費税抜き) |
リスク副作用 |
歯肉退縮、ブラックトライアングル、歯根吸収、歯髄壊死等 |
飯田先生の症例説明
上の歯が出ている、口元が出ていることを主訴に来院された患者様です。以前他院にて非抜歯で矯正治療を行っていました。今回は口元の改善をするために上下左右第一小臼歯を抜歯しています。上顎には矯正用インプラントアンカーを併用し奥歯の固定を強固にしています。マルチブラケット装置にて治療を行いました。
年齢・性別 |
38歳6ヶ月女性 |
|---|---|
主訴 |
上の歯が出ている、歯のでこぼこ、 すきっぱ |
装置 |
インビザライン |
期間 |
2年〜現在治療中 |
治療費 |
88.4万円(消費税抜き)〜 |
リスク副作用 |
歯肉退縮、ブラックトライアングル、歯根吸収、歯髄壊死等 |
槇本先生の症例説明
上の歯が出ている、ガタガタを主訴に来院された患者様です。カリエールにて奥歯を後方へ移動させたのち、インビザラインにて歯並びを整えています。奥歯の傾斜を改善するために、部分的にゴムを取り外しして頂き咬合を改善しています。現在も治療途中ですが、あと数ヶ月で治療終了予定です。
年齢・性別 |
17歳10ヶ月女性 |
|---|---|
主訴 |
上顎前突 |
装置 |
カリエール マルチブラケット装置 |
期間 |
1年7ヶ月 |
治療費 |
70.7万円(消費税抜き)〜 |
リスク副作用 |
歯肉退縮、三角空隙、歯根吸収、 歯髄壊死 等 |
槇本先生の症例説明
上の歯が前に出ていて、前歯がかみ合わないことを主訴に来院された患者様です。まず7ヶ月カリエールを使用して頂き、犬歯から後ろの臼歯部までを遠心移動したのちに、マルチブラケット装置で歯列を整えました。正常な臼歯部の噛み合わせのために顎間ゴムも使用して頂きました。治療後は、上下とも前歯部には舌側に固定式保定装置を装着し、夜間のみマウスピース型の保定装置を使用していただいています。
年齢・性別 |
9歳女性 |
|---|---|
主訴 |
上顎前突 |
装置 |
マルチブラケット装置 ナンスのホールディングアーチ E.O.A. |
期間 |
2年9ヶ月 |
治療費 |
69.0万円(消費税抜き)〜 |
リスク副作用 |
歯肉退縮、三角空隙、歯根吸収、 歯髄壊死 等 |
槇本先生の症例説明
「口元を必ず下げてほしい!」と出っ歯を主訴に来院された患者様です。奥歯の近心移動防止のためにホールディングアーチを装着し、夜間就寝時にはE.O.A.を併用、上下左右4本抜歯してマルチブラケット装置による矯正を行いました。治療後は、上下顎ともに舌側に固定式保定装置を装着し、夜間のみマウスピース型リテーナーを使用していただいています。
年齢 |
26歳女性 |
|---|---|
主訴 |
叢生 上顎前突 |
装置 |
マルチブラケット装置 矯正用インプラント |
期間 |
2年7ヶ月 |
治療費 |
74.3万円(消費税別) |
リスク副作用 |
歯肉退縮、三角空隙、歯根吸収、 歯髄壊死 等 |
飯田先生の症例説明
でこぼこの歯並びを主訴に来院された患者様です。虫歯の治療をした処置歯も多く、上下顎の前後的バランスから上は5番目、下は4番目の歯を抜歯してマルチブラケット装置による矯正を行いました。正中のずれも大きかったので矯正の終盤には顎間ゴムも使用して頂きました。治療後は、上下顎ともに舌側に固定式保定装置を装着し、夜間のみリテーナーを使用していただいています。
年齢 |
20歳女性 |
|---|---|
主訴 |
歯の凸凹、出っ歯、左下奥歯の傾斜 |
装置 |
マルチブラケット装置、 矯正用インプラント |
期間 |
2年9ヶ月 |
治療費 |
77.5万円(消費税別) |
リスク副作用 |
歯肉退縮、三角空隙、歯根吸収、 歯髄壊死 等 |
飯田先生の症例説明
「左下は親知らずが重なって生えてきて歯が倒れてしまった」「凸凹が気になる、出っ歯が気になる」という主訴の患者様です。左下の親知らずはご来院前に他院で抜歯していらっしゃいました。歯並びのガタガタも大きいので上下左右とも4番目の歯を抜歯し、上顎には矯正用インプラントも埋入し、マルチブラケット装置による歯列矯正を行いました。治療後は、上下顎ともに舌側に固定式保定装置を装着し、夜間のみマウスピース型のリテーナーを使用していただいています。
〒116-0003 東京都荒川区南千住4-7-1 BiVi南千住2階