東京都荒川区南千住4-7-1 BiVi南千住2階 南千住駅すぐの矯正歯科


歯の間に隙間がある状態を空隙歯列いいます。俗に、すきっ歯とも言われます。
特に、前歯の間に隙間があるを、正中離開といいます。
顎の大きさに対して、歯の大きさが小さくバランスが悪い時に起こります。また、混合歯列期における舌癖、吸指癖も原因の一つです。


・タングガード、クリブ
・ 床矯正装置

隙間が既にあるので非抜歯治療です。
・表側矯正
・裏側矯正
・マウスピース治療(インビザライン)
上の前歯が生えてきたら、すきっ歯なんですが!

永久歯が生えてくることで前歯がすきっ歯になることをアグリーダックリングステージ(ugly duckling stage)と言います。
別名みにくいアヒルの子の時期とも言います。前歯の萌出時期で一時的に正中離解(すきっ歯)になってしまいます。ほとんどの場合、問題はありません。通常は、横の大人の歯が生えてくると、この隙間はなくなります。
ただ、隙間が大きすぎると、真ん中に過剰歯がある可能性があります。このような場合には、早期に過剰歯を抜く事により、隙間は小さくなる可能性があります。抜歯しても、変化がないようでしたら、矯正治療が必要になります。過剰歯があるかないかは、パノラマレントゲンを撮影すれば、簡単にわかります。小児歯科専門医により、当院で抜歯が可能です。
あるいは、横の大人の歯がずれて生えてくると、閉鎖しません。下の患者様の青い↓の歯は、横の歯に押されて真ん中に寄ってきますが、赤い↓の歯はずれて生えてしまったので押されませんでした。このような場合には、矯正治療が必要です。

自己判断せずに、無料相談を受診して下さい。
目次

年齢・性別 |
21歳7ヶ月女性 |
|---|---|
主訴 |
すきっ歯、八重歯 |
装置 |
インビザライン |
期間 |
4年8ヶ月 |
治療費 |
99.6万円(消費税抜き) |
リスク副作用 |
歯肉退縮、ブラックトライアングル、歯根吸収、歯髄壊死等 |
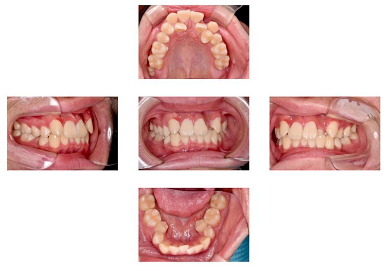
飯田先生の症例説明
すきっ歯と八重歯を主訴に来院された患者様です。上顎右側に過剰歯が認められました。過剰歯を抜歯し、インビザラインにて歯並びを整えています。歯を並べるスペースを作るために歯の間を少し削合しています。マウスピースでの動的治療終了後は、八重歯部分は後戻りが予測されるため裏側に固定式のワイヤーを貼らせていただいています。

年齢・性別 |
6歳2ヶ月男性 |
|---|---|
主訴 |
すきっぱ、前歯が噛み合わない、奥歯の噛み合わせ、ずれている |
装置 |
クワドヘリックス、マルチファミリー |
期間 |
3年2ヶ月(現在も治療中) |
治療費 |
78.3万円(消費税抜き) |
リスク副作用 |
歯肉退縮、ブラックトライアングル、歯根吸収、歯髄 |
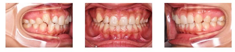
槇本先生の症例説明
歯並びを主訴に来院された患者様です。上顎の幅が下顎と比較し狭かったため、クワドヘリックスにて拡大を行いました。上下幅が合ったのち、マルチファミリーにて歯並び及び噛み合わせを改善しています。マルチファミリーはご自身で夜間就寝時に使用していただく装置です。患者様自身のご協力が重要となります。乳歯が残っているため、現在も経過を観察中ですが、良好な経過となっています。

年齢・性別 |
10歳11ヶ月 |
|---|---|
主訴 |
すきっぱ |
装置 |
カリエール、マルチブラケット装置 |
期間 |
2年2ヶ月 |
治療費 |
71.1万円(消費税抜き) |
リスク副作用 |
歯肉退縮、ブラックトライアングル、歯根吸収、歯髄壊死等 |
飯田先生の症例説明
すきっぱを主訴に来院された患者様です。上顎の奥歯を後方へ移動させるために両側にカリエールを使用し、ご自身でゴム掛けを行っていただきました。ゴムの使用時間を守っていただいたため、歯を抜くことなく治療が完了いたしました。カリエールはご自身でのゴム掛けが重要になります。適切に使用することで装置の効果が発揮できるため、患者様のご協力が必要です。

年齢・性別 |
16歳1ヶ月男性 |
|---|---|
主訴 |
歯のでこぼこ、すきっ歯、前歯が噛み合わない、奥歯の噛み合わせ |
装置 |
マルチブラケット装置、矯正用インプラントアンカー |
期間 |
2年8ヶ月 |
治療費 |
81.2万円(消費税抜き) |
リスク副作用 |
歯肉退縮、ブラックトライアングル、歯根吸収、歯髄壊死等 |
槇本先生の症例説明
全体的な歯並びと噛み合わせを主訴に来院された患者様です。上顎は両側第一小臼歯、下顎は両側第二小臼歯を抜歯しています。マルチブラケット装置にて治療を行っています。上顎には矯正用のインプラントアンカーを使用し、奥歯の固定を強固にしています。今回は小臼歯を抜歯していますが、奥に生えてしまった前歯を抜いて治療することも可能です。メリット・デメリットをご説明した上で抜歯する歯を決定いたします。
〒116-0003 東京都荒川区南千住4-7-1 BiVi南千住2階