東京都荒川区南千住4-7-1 BiVi南千住2階 南千住駅すぐの矯正歯科


開咬とは噛んだ時に、上と下の歯に隙間ができてしまう噛み合わせです。
開咬の原因は 指しゃぶりや舌を出す癖(舌突出癖)があったり、遺伝などが原因でなることがあります。前歯で食べ物をかみ切れなかったり、話すときに正しい発音ができない場合もあります。開咬の治療は始める時期によって、治療法が異なります。早期に始められた方が治療後の後戻りが少ないです。

指しゃぶりや舌突出癖が原因なので、これを防ぐ装置を装着します。
約6ヶ月で、徐々に開咬が改善されていきます。
ただ、すぐ外してしまうと、また開咬になっていきますので、1~2年は装着したままをお勧めします。
・タングガード

隙間が既にあるので非抜歯治療です。
・表側矯正
ブラケット治療の場合、顎間ゴムを使用して頂きます。食事と歯を磨く時以外、使用します。
・マウスピース治療(インビザライン)
インビザライン治療は臼歯部を圧下させやすいので、開咬の治療に有効です。顎間ゴムを使用して頂く事もあります。

目次
年齢・性別 |
20歳1ヶ月女性 |
|---|---|
主訴 |
前歯が噛み合わない |
装置 |
カリエール、インビザライン |
期間 |
2年7ヶ月 |
治療費 |
90.9万円(消費税抜き) |
リスク副作用 |
歯肉退縮、ブラックトライアングル、歯根吸収、 歯髄壊死等 |
飯田先生の症例説明
前歯が噛み合わないことを主訴に来院された患者様です。上顎の奥歯を後方へ移動させるためにカリエールを装着し、ご自身でゴム掛けをして頂きました。カリエールは4ヶ月使用、その後全体をインビザラインにて改善しています。歯を並べるスペースを作るために、歯と歯の間を少し削合しています。
年齢・性別 |
23歳11ヶ月女性 |
|---|---|
主訴 |
前歯が噛み合わない |
装置 |
インビザライン |
期間 |
2年10ヶ月 |
治療費 |
91.9万円(消費税抜き) |
リスク副作用 |
歯肉退縮、ブラックトライアングル、歯根吸収、歯髄壊死等 |
飯田先生の症例説明
前歯が噛み合わないことを主訴に来院された患者様です。今回はインビザラインにて治療を行いました。歯を並べるスペースを作るために前歯の間を少し削合しています。歯並びや噛み合わせによって向いている装置がありますので、患者様のお口の状況や生活習慣によって適した装置をお勧めいたします。
年齢・性別 |
24歳11ヶ月女性 |
|---|---|
主訴 |
前歯が噛み合わない |
装置 |
インビザライン |
期間 |
1年6ヶ月 |
治療費 |
86.3万円(消費税抜き) |
リスク副作用 |
歯肉退縮、ブラックトライアングル、歯根吸収、歯髄壊死等 |
飯田先生の症例説明
前歯が噛み合わないことを主訴に来院された患者様です。インビザラインにて治療を行っています。奥歯を圧下し、開咬を改善いたしました。インビザラインでの治療の方が歯を圧下しやすく、当院では開咬の方におすすめさせていただくことがあります。患者さまのお口の状況に応じて最適な装置をおすすめしております。
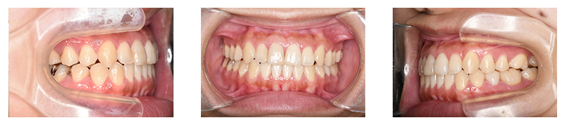
年齢・性別 |
19歳9ヶ月女性 |
|---|---|
主訴 |
前歯が噛み合わない、奥歯の噛み合わせ |
装置 |
マルチブラケット装置 |
期間 |
2年1ヶ月 |
治療費 |
71.3万円(消費税抜き) |
リスク副作用 |
歯肉退縮、ブラックトライアングル、歯根吸収、歯髄壊死等 |
飯田先生の症例説明
噛み合わせを主訴に来院された患者様です。顎の大きさに対し歯が大きめであったため、上下左右第一小臼歯を抜歯して治療を行っています。上顎にはリンガルアーチを使用し、犬歯を裏側から牽引しています。そのため表側のワイヤーの装置の装着期間が必要最低限となります。
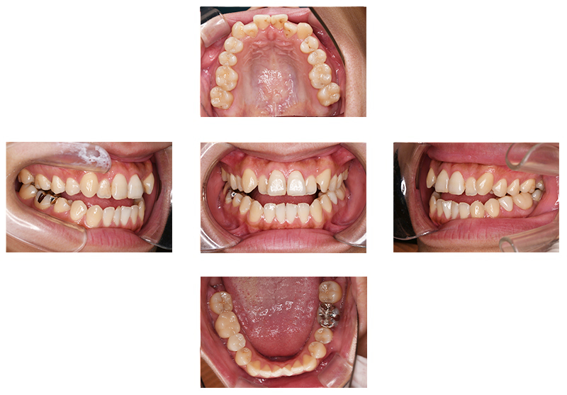
年齢・性別 |
22歳5ヶ月女性 |
|---|---|
主訴 |
前歯が噛み合わない、歯のでこぼこ |
装置 |
カリエール、マルチブラケット装置 |
期間 |
1年7ヶ月 |
治療費 |
71.7万円(消費税抜き) |
リスク副作用 |
歯肉退縮、ブラックトライアングル、歯根吸収、歯髄 |
飯田先生の症例説明
前歯が噛み合わないことを主訴に来院された患者様です。マルチブラケット装置にて治療を行いました。左側には噛み合わせを改善するために、ご自身でゴム掛けをしていただくカリエールを使用しました。カリエールは患者様自身のゴム掛けが非常に重要になり、治療の進行に大きく影響します。下顎前歯は歯を並べるスペースを作るために前歯の間を少し削っています。
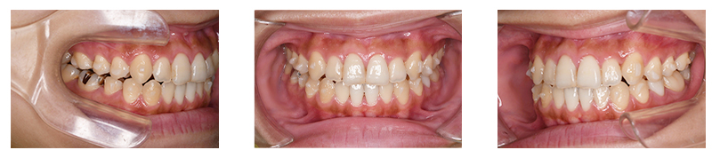
年齢・性別 |
26歳1ヶ月女性 |
|---|---|
主訴 |
前歯が噛み合わない |
装置 |
カリエール、インビザライン |
期間 |
1年6ヶ月 |
治療費 |
86.3万円(消費税抜き) |
リスク副作用 |
歯肉退縮、ブラックトライアングル、歯根吸収、歯髄壊死等 |
飯田先生の症例説明
前歯が噛み合わないことを主訴に来院された患者様です。非抜歯希望だったため、今回はカリエールを使用し奥歯を後方へ移動させています。奥歯の移動をするとともにインビザラインにて歯並びを改善しています。カリエール、インビザラインともに患者様のご協力が非常に大切になってくるものとなります。歯を抜歯しない代わりに、歯を並べるために前歯の隙間を少し削合しています。健康に問題の無い程度のごく僅かな削合となりますのでご安心ください。
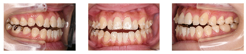
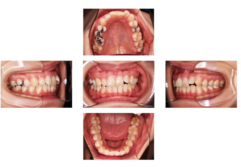
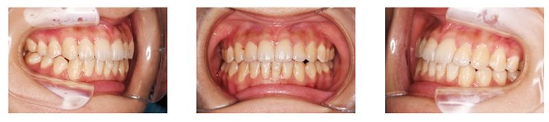
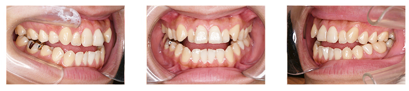
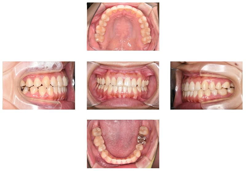
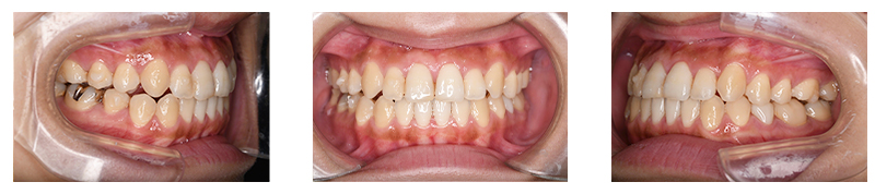
年齢・性別 |
22歳8カ月男性 |
|---|---|
主訴 |
開咬 |
装置 |
インビザライン |
期間 |
2年10カ月 |
治療費 |
91.0万円(消費税別) |
リスク副作用 |
歯肉退縮 三角空隙 歯根吸収 歯髄壊死 等 |
飯田先生の症例説明
「奥歯でしか噛めない。だんだん開いてきた」と開咬を主訴にご来院いただいた患者様です。
インビザラインでのマウスピース矯正で、IPRを行い、顎間ゴムを併用しつつ歯並びを整えました。
途中5回ほどマウスピースを作り替え、主訴である開咬は10カ月で改善、その後は歯軸の向きや切縁の高さなどの調整を行いました。
現在は夜間就寝時のみ、保定用マウスピースを使用いただいております。
〒116-0003 東京都荒川区南千住4-7-1 BiVi南千住2階