こんにちは😃
歯科衛生士のKです。
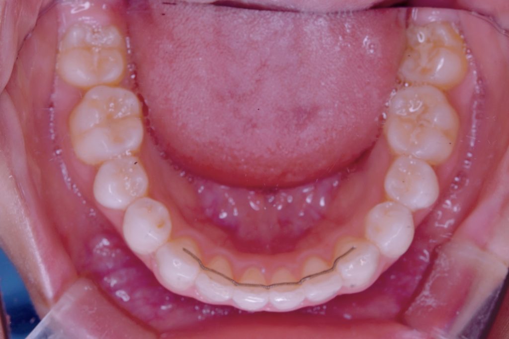
なんと、、ついに私の矯正治療が終了しました〜〜👏✨✨
歓喜〜(;_;)💕
じゃーん!!
過去の投稿で初診時の状態や経過を見ることが出来るので、ご興味のある方は見てみてください。





私は歯が動きやすいタイプでしたので、平均の方より治療が早く終わりました。
また、早く外したい気持ちが大きかったため、目指すゴールにレベルを下げた事も要因の1つです。ある程度噛む事が出来て、細かな並びは気にならないと思い外す事を優先しました。
100点満点を目指すのはもちろんですが、矯正治療は患者さんがご満足する所をゴールとする場合もございます。
矯正装置が外れるのは、やっぱりとても嬉しいです😆
何より食事が美味しく感じました。装置に慣れていたとはいえ、装置がないと物が挟まることがなくなりますし、口元を気にせず食べられる事が大きいです。
綺麗な歯並びになり、治療をしていただいた当院の先生に感謝しきれません。本当にありがとうございます✨
歯並びが変わると、顔の印象がやはり変わります。実家に帰ったら顔の形も変わった気がする!と言われました。シュッとした様です。笑
矯正は期間や費用がかかるし、お痛みや歯磨きが大変とマイナスイメージを持たれてる方もいらっしゃるかも知れません。
ですが、最終的には『やって良かったな』と思っていただけるメリットのが多いと思います。
矯正治療に興味がある方は、一度相談してみるとイメージが湧きやすいと思います。
当院でも、無料相談を受け付けておりますので皆さんの事えおお待ちしております(*⁰▿⁰*)
そして、今日は矯正治療後の後戻りについてお話ししていきたいと思います。
私も矯正装置を外してから1番恐れている事です。
矯正治療は平均で2〜3年かかります。実際に矯正治療を経験した方や現在行なっている方はお分かりかと思いますが、決して楽な治療ではありません。
お痛みを感じることはもちろん、食べ物が食べにくかったり、あるいは詰まりやすかったりと多少なりともストレスを感じる事も少なくありません。歯磨きは、より時間をかけてケアする必要があります。
一生の内の2〜3年と思えば短いかもしれませんが、実際の矯正期間中は長く感じたり、早く終わらないかな?と思う事が多いかと思います。
そんな中、治療を乗り越えて綺麗で素敵な歯並びを手にしたのに、後戻りを起こしてしまったら、悲しいし、もったいないですよね( ; ; )💦
矯正治療終了後は、後戻りを防ぐために必ずリテーナーという保定装置をお渡しします。
特に治療終了後はまだ歯の周辺組織が不安定で、歯が動きやすい状態になっています。そのため、歯列や咬合が安定せずに後戻りが生じやすいです。
歯列や咬合の安定を図るのはもちろん、後戻りを防止するためにもリテーナーはとても重要な役割です✨
リテーナーにもいくつか種類があります。
当院で使用する事が多いリテーナーをご紹介します。
①サーカムリテーナー

歯列全体を取り囲み、しめつけるためのワイヤーがついているタイプ。ワイヤーが歯全体にかかるのが特徴です。
②ホーレーリテーナー

主に前歯部分をワイヤーで取り囲むタイプ。
③スプリングリテーナー

後戻りしやすい下顎前歯によく使われるリテーナー。
下の前歯が軽度に後戻りしてしまった場合などの改善にも用いられます。
④ビベラリテーナー

透明のマウスピースタイプ。とても目立ちにくいタイプです。ただし自分の歯同士が上下で直接咬み合わないので、積極的に噛み合わせを安定させたい場合などは適さない場合もあります。
⑤フィックスタイプ

今までご紹介したものは取り外しが可能ですが、こちらは固定式になります。
前歯の裏側に使用され、歯に直接接着する保定方法です。一般的に長期間、着けていることが多いです。出来れば一生付けている事をおすすめします。特に元の歯のガタガタが大きかったり舌の癖がある方は後戻りが生じやすいため、フィックスを使用する場合が多いです。
歯並びを保つ力が大きい事やつけ忘れによる後戻りを防げるのが魅力ですが、固定式になるため、汚れが少し溜まりやすくなるデメリットもあります。きちんと歯磨きをしていただければ清潔に保つ事が出来ます。
経年的に接着剤の一部が外れてきてしまったりする事がありますので、クリーニングと一緒に定期的にメンテナンスを受けましょう♫
どのリテーナーも装着時は違和感などを感じることがあるかもしれません。
矯正治療と同じ様に使用を続ける事で、必ず慣れてきますので、根気よく使用を続けましょう。最初は慣れずに、外したくなってしまいがちですが、安定するまでの初めの期間が最も重要です。せっかく綺麗に並んだ歯並びが無駄にならない様、頑張りましょう(*^^*)
ここまで、保定装置をいくつかご紹介してきました。
基本的には保定装置を毎日継続して使用していただければ、後戻りすることはありません。
ですが、矯正治療が終わり、装置を外した直後の歯は歯の周囲の骨が安定していないので特に動きやすくなっています。その状態で歯を放置してしまうと治療前の位置に戻ろうとします。
それを防ぐのがご紹介したリテーナーの役割です。必ず毎日使用しましょう✨
「リテーナを使用するのはいつまでですか?」
という質問をいただくことがあります。
一般的には治療にかかった期間と同じ期間(約2年)は使いましょうと言われております。それ以降は全く使用しない訳ではなく、2、3日に1回、1週間に1回など継続して使用する事をおすすめします。
周りの組織が安定したとしても、身体が経年的に変化する様に口腔内も常に変化を伴います。ですので、絶対に後戻りしたくないという方は、毎日でなくても生涯使用を続けていただくことをおすすめします(*^o^*)
保定期間に入ってからは、通院は必要なのか疑問に思った事があるかもしれません。
答えは、必要です!!
保定期間も定期的に通院します。リテーナーの状態や歯並びなどをチェックを主治医に行ってもらいましょう。保定期間に入った最初は、1月後、その後経過を見ながら2~3か月に一度、半年に一度と通院の間隔を空けていきます。
リテーナーのワイヤー部分が使用している内に緩んできたり、フィックスが一部外れてしまったり何か問題が起きていた場合、早期に対応が必要です。
また、使用状況によっては後戻りしてきてしまいますので、状態を把握する為にも通院をしてもらう必要があります。
矯正は長いお付き合いになりますので、医院選びは大切です。転勤やお引っ越しなどがある場合は、そちらを顧慮した上で決められるとよいかと思います。
今回はリテーナーについてお話ししていきました。後戻りを防止する為には必須アイテムになります。少しでも大切さについて理解を深めていただけたら嬉しいです😊
私もリテーナーをきっちり使用していきたいです!
それでは、また次回の更新でお会いしましょう♪
