こんにちは〜🌞🌈✨
南千住小児歯科矯正歯科の歯科衛生士のYです🦷🪥
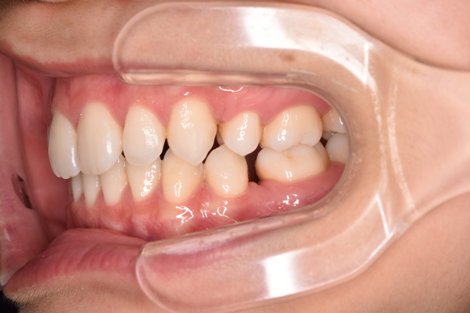
ついにワイヤー矯正の治療が終わりを迎えました〜〜\( ˆoˆ )/わーい
矯正後のお写真は最後に載せています🌟
さて、ワイヤーを外した後矯正治療は終わり!!なのですが、、
そのままにしておくと、なんと2週間程度で元の歯並びに戻ってきてしまうのです!!( T_T)💦💦
えーーー、、!!💦💦せっかく長い期間をかけて歯並びを綺麗にしたのに2週間程度で後戻りしてしまうのか!!泣
となりますよね。。。
そうならない為に『保定装置』という器具を付けて後戻りを防ぎます。
★保定装置とは??★
その名のとおり、矯正治療が終わった後に歯並びを保って、歯や歯周組織を安定させる装置です。
せっかく矯正治療が終わったのにまだ何か装置を付けなきゃならないの?(><)
と思う方もいらっしゃるかと思いますが、矯正治療後の保定期間は綺麗に揃った歯並びを維持するにもとっても重要な期間なのです🥺
★そもそもなぜ後戻りがしてしまうのか?★
以前にもお話しした『
』で歯が動く仕組みをお話ししました。
歯に一定の力をかけ続けると、歯を支えている骨(歯槽骨)が、力をかけている方の骨を溶かしていき、その反対側の骨には新しい骨が出来る事により歯が動きます。
そのため、矯正治療終了後も骨が完全に出来るのに時間がかかり、歯周組織がとても不安定な状態です。
さらに、歯と歯茎を結んでいる繊維は変形し難く、矯正治療前の位置を記憶しているため、矯正治療で歯並びが綺麗に並んでも治療前の歯並びに戻ろうとする力が働きやすく、後戻りが生じやすいのです。
だからこそ保定装置をして、歯周組織に新しい歯並びを記憶させ、後戻りを防止するのです!!
ではその保定装置について、これからいくつか紹介したいと思います。
★保定装置(リテーナー)の種類★
当院では、サーカムタイプリテーナ、ホーレータイプリテーナ、fixリテーナーと、マウスピースの透明のタイプの保定装置を使用しています。
①サーカムリテーナー
表側はワイヤーで、裏側はプラスチックで歯全体を囲っている様な形の保定装置です。取り外し可能です。ワイヤー矯正されていた方はこのサーカムリテーナーか、ホーレータイプリテーナーを使用していただきます。

②ホーレータイプリテーナー
サーカムリテーナーと似た様な形をしていて、前歯を中心に固定する保定装置です。取り外し可能です。ワイヤー矯正されていた方はサーカムリテーナーか、このホーレータイプリテーナーを使用していただきます。

③fixリテーナー
細いワイヤーを直接前歯の裏側にくっつけて歯を固定する装置で、表側からは見えにくいです。
取り外し出来ないタイプなので、最も後戻りしやすい前歯につける事によって歯が動かない安心感があります。

④ビベラリテーナー
透明なマウスピース型のリテーナーです。歯を完全に覆っているタイプで、マウスピース矯正(インビザライン矯正)をされていたほとんどの方にはこちらのリテーナーを使用してもらいます。取り外し可能です。

以上、主に4種類のリテーナーを当院では使用します。どれを使用するかは、もともとの歯並びやその方によって違うので矯正医の判断のもと使用して頂きます。
当院では、①のサーカムタイプリテーナーと②のホーレータイプリテーナーは裏側のプラスチックの部分のお色味を好きな色に変えられます💫
カラーは、ピンク、透明、黄色、青、オレンジ、緑、紫の7種類からお選び頂けます♫✨
また、お名前も入れられて、カタカナ、平仮名、漢字、ローマ字の種類から選べるので自分専用の装置を作れます😍🎀
★保定装置を使用する時の注意事項★
①のサーカムリテーナーと②のホーレータイプリテーナーと④ビベラリテーナーについて
当院では夜間のみ使用して頂いております。使用期間は大体、矯正治療にかかった期間と同じぐらい使用して頂くと効果があります。(歯並びよってそれ以上かかる事もあります。)
取り外し可能のため、完全に固定するものよりも、清掃性に優れているため虫歯になりにくいです。
デメリットとしては、着脱が出来るのでしっかりご自身での管理が必要です。
装着時間が少なかったり、紛失してしまったりしてしまうと矯正後は後戻りしやすい為、元の歯並びに戻ってしまう事がありますので、使用時間はしっかり守るようお願いします。
③fixリテーナー
①と②のリテーナーをfixリテーナーと併用して頂く事があります。
ワイヤーが外れたりしない限り固定されているので、汚れがつきやすいです。汚れがしっかり取れずに残っていると歯石となり、fixリテーナーと歯の間に汚れが固まってしまうので歯ブラシを怠らないようにしましょう。
使用期間は元の歯並びによりますが、ほとんどの場合、ワイヤーが外れたり、歯が抜けたりしないかぎり一生つけて頂く事が多いです。
★⇩矯正終了後のお写真がこちらです⇩★
私の場合はfixリテーナーとビベラリテーナーを併用しています。



治療期間約三年間かかり、物が詰まったり、歯が動く痛みもあり決して楽な治療では無かったですが、綺麗な歯並びを見るとやはり矯正治療を頑張ってよかったなと思います☺️💕
これで私の夢だった結婚式に綺麗な歯並びで思いっきり笑う!と言う目標を叶える事が出来ます👰💐
矯正器具に物が詰まることもなくなり歯磨きもとってもし易くなり、噛み合わせも良くなったので矯正する前と比べて肩も凝りにくくなった気がしますv(^_^v)♪
いかがでしたか??
リテーナーの種類は、どれを使用するかは医師の判断で決まりますが、矯正治療をご検討されている方はこの期間も含めて考えて頂きたいと思います。
矯正治療を一生懸命頑張って頂いて綺麗な歯並びになったとしても、保定装置をしっかり使用出来ないと直ぐに後戻りが生じてしまいます。
後戻りしてしまい、また再治療をご希望されるかたは少なくありません。
費用も時間も無駄にならないよう、保定装置はしっかりと指示通りに使用しましょう。
日付: 2023年2月13日 カテゴリ:未分類, 歯科衛生士Yさんの矯正日記 and tagged [, そひき




































