こんにちは、槇本です。前回に引き続き、今回は開咬の患者様の治療法について解説致します。難しい治療ではありますが、インビザラインを用いて良好な経過を辿った症例を紹介いたします。
患者:23歳女性
主訴:前歯が噛み合わない、マウスピースの装置ご希望。
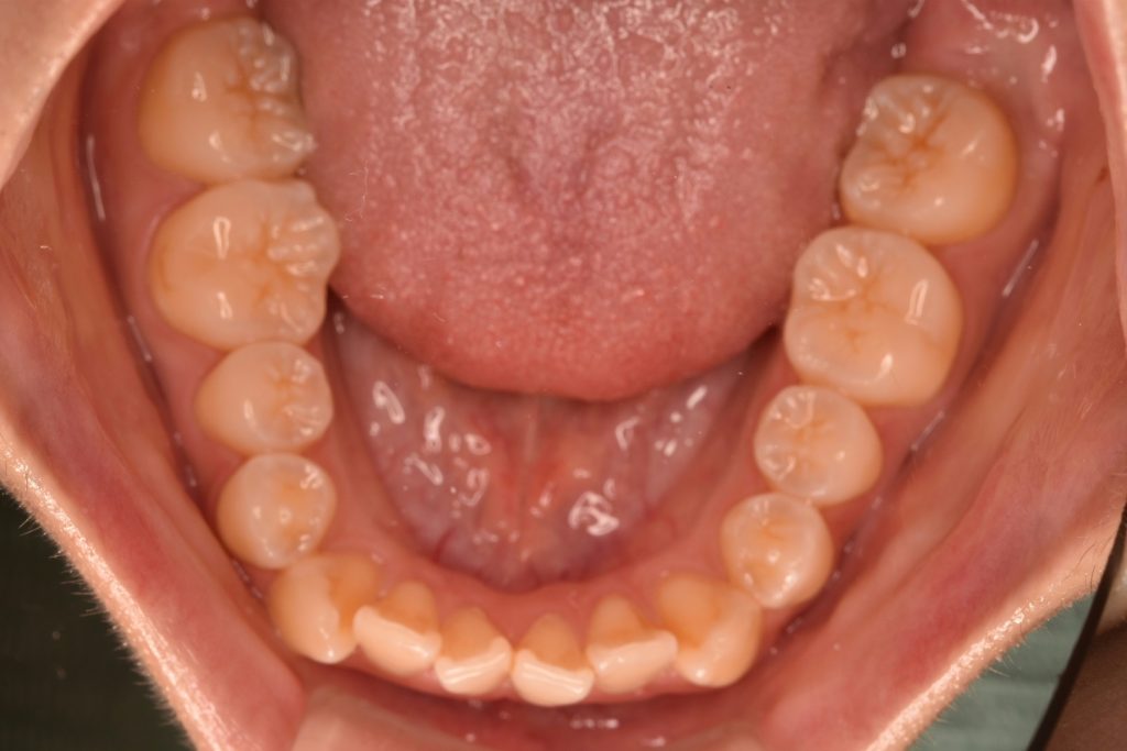
初診時
前歯が空いていて、奥歯でのみ噛んでいる状態です。ガタガタも認められます。




初診時の頭部X線規格写真
これは矯正治療で行う検査の中で、最も重要な検査の1つです。
頭蓋骨に対して、上顎骨、下顎骨の大きさや、上下の前歯の角度を測ります。
このレントゲンからは、上の前歯の角度が大きいこと、上下の前歯で咬めていないことが分かります。

治療経過
・治療開始6ヶ月目
だんだん前歯で咬むようになってきました。




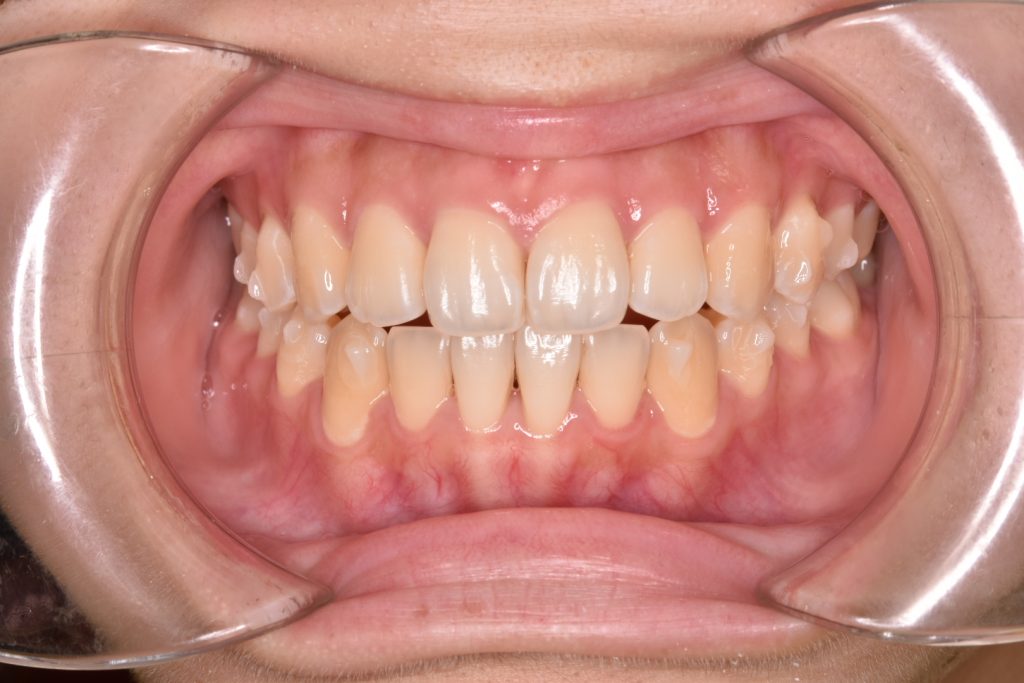
・治療開始1年7ヶ月
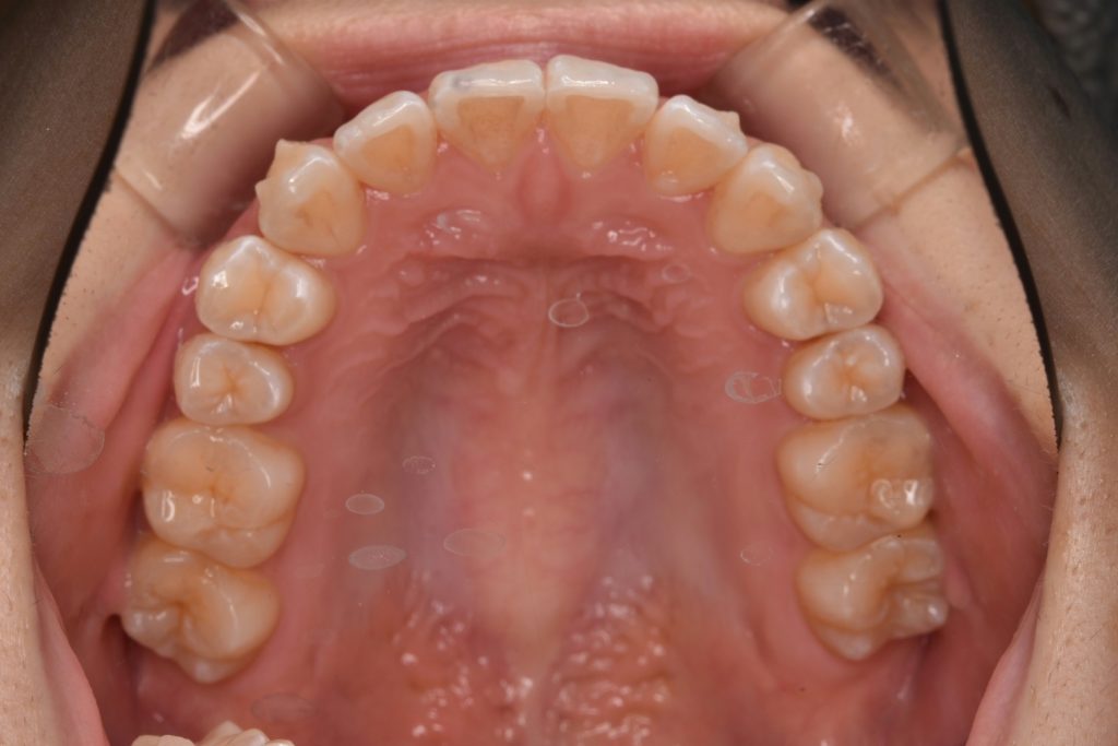
前歯を含め、全ての歯が咬合しています。患者様も、「やっと咬めるようになって満足」とのことでした。
保定を開始しました。保定装置は、ビベラを用いて、毎晩装着して後戻りを防ぎます。





終了時の頭部X線規格写真

レントゲンでも、しっかりと前歯が咬めていることが認められました。
また、上の前歯は角度の改善が認められ、患者様の側貌、E-lineよりも口元は内側に入っております。
治療期間は19ヶ月!
治療の内容:インビザラインによる矯正治療
治療期間:19ヶ月
開咬は、矯正治療の中でも難しいとされていますが、今回の治療期間は2年よりも短い19ヶ月で治療を終えることができました。IPR(歯と歯の間を削る処置)も行い、口元を突出させることなくきれいなかみ合わせを達成することができました。
治療後は、奥歯と前歯で咬みやすくなり、笑顔にも自信が持つことができました。
当院は、インビザラインによる矯正治療はもちろん、ワイヤーによる治療も行っております。無料の矯正相談を行っておりますので、歯並びでお困りの方はぜひ一度ご予約ください。
