東京都荒川区南千住4-7-1 BiVi南千住2階 南千住駅すぐの矯正歯科

「うちの子、乳歯がなかなか抜けないんです」
「うちの子、乳歯が抜けてから、永久歯がなかなか生えてこないんです」
「私が永久歯が少ないので、うちの子もないのではもないか心配です」
上記のような相談を受ける事が多々あります。
日本小児歯科学会が 2007年から 2008 年にかけて行った全国調査「永久歯先天欠如の発生頻度に関する調査研究」では、乳歯の先天性欠如があったのは0 . 5 % 、永久歯の先天性欠如が あったのは 10.1% となっていました。
また、永久歯の先天性欠如は男子 ( 9.1 % ) よ り 女 子 ( 11.0% ) の方が、若干多く、上顎だけに欠如が認められる場合が 2.5% 、下顎だけに認められる場合が 5.7% 、上下顎ともに認められる場合は 1.9% でした。感覚としては、さらに増加しているように思われます。

歯の部位では、第二小臼歯と側切歯の欠如が多いという結果が出ています。
以下のレントゲンで示したように、良い時期に乳歯を抜歯する事により、自然に抜歯した隙間が閉鎖します。このように移動させておけば、少し近心傾斜した奥歯を治せば良いだけですので、治療も簡単ですし、治療期間も短くなります。永久歯が生え揃う12歳になってから、抜歯してもこのように歯は動きません。ブラケットを装着して移動させるのは可能ですが、時間がかかります。
上記のような不安がありましたら、早目に拝見させて下さい。
また、ご家族に、永久歯欠損のある方がいらしたら、7歳までにはレントゲンを撮影し、永久歯の有無をご確認される事をお勧めします。なお、6本以上欠損されていると、保険適応となります。

人間の歯の本数をご存知ですか?乳歯は20本、永久歯なら28本です。
最近では親知らずが元々無い人も多くいらっしゃいますが、この親知らずまで含めると永久歯は32本になります。しかし、この32本の他にさらに1本から複数本多く歯がある方もいらっしゃいます。これを過剰歯と呼び、上の前歯あたりにあることが多いです。
過剰歯はお口の中に生えてきたり、顎骨内に埋まったままだったりと状態は様々ですが、存在しているとほかの歯の正常な萌出に悪影響を及ぼし、歯列不正になることがほとんどです。「前歯のすきっ歯が気になるので矯正したい」と来院し、レントゲンを撮ったところ過剰歯が埋まっていた。ということは少なくありません。
このような場合は矯正を始める前に過剰歯を抜かないと、過剰歯が歯の動きを邪魔して十分な歯の移動が出来ません。


人それぞれ顔のかたちが違うように、歯のかたちも他人と自分では少しずつ違うものです。
前歯なら前歯、奥歯なら奥歯の形態的特徴がありますが、それとは少し変わった歯かたちをした歯が生えてくることも珍しくありません。
ここでは矯正治療に関係するであろういくつか代表的なものを紹介しましょう。

上の奥歯の内側にできる結節(出っ張り)のことを言います。
具体的には乳歯では上顎第二乳臼歯(乳歯列の一番奥)、永久歯では上顎第一大臼歯(6歳臼歯・永久歯列の奥から2番目)の歯の上あご側に見られます。
結節の周りには汚れがたまりやすく、清掃しにくいので特に注意が必要です。
歯科矯正の視点から言うと、これらの歯には「バンド」という装置をつけることが多いので、カラベリー結節がある人のバンド装着時にはサイズを吟味する必要が出てきます。

下の歯の咬合面にできる突起のことを言います。中心結節がよく見られるのは下顎第二小臼歯(6歳臼歯の一つ手前の歯)です。この歯の上面中央に出来る角のような突起物が中心結節です。
カラベリー結節と同様に歯の形態が複雑になるので汚れがたまりやすく、清掃しにくいのに加えて、何かの衝撃で角がポキッと折れてしまう恐れもあります。中心結節の中には歯髄(歯の神経)があるので、折れたことによりこれが出てきてしまうと痛みを感じ、神経の治療が必要になります。
折れるのを未然に防ぐ方法として角の周囲を歯科治療法のレジンで埋めて補強する方法や、大きくポキッと折れてしまう前に少し削って滑らかする方法があります。

人の歯の大きさには個人差がありますが、解剖学的大きさから極端に小さな歯を矮小歯といいます。矮小歯になりやすいのは上顎側切歯(前から2番目の歯)で円錐形や円筒形をしています。
左右の側切歯のうち、一方だけ矮小歯の場合は、矯正治療時に左右非対称になってしまう可能性があります。これを防ぐため矮小歯に補綴治療を施し、大きく形態修正する方法もあります。
患者様が求める理想の歯並びにするために、矮小歯に補綴が必要かどうかはしっかりとご相談させていただきます。
歯を失う原因は、虫歯・歯周病・あるいは事故などいくつか思いつくことがありますが、先天的に(生まれつき)歯の本数が少ないことも少なくありません。
歯の生え変わり時期にレントゲンを撮って永久歯が写っていないと、その歯はおそらく先天的に欠損している歯でしょう。
永久歯が欠損している場合、いくつかの対応方法があります。
そもそも乳歯がぐらぐらして生え変わるのは、下から永久歯が押し上げてきて乳歯の根を吸収し短くしていくことで起こります。したがって、下に永久歯が控えていない乳歯は根吸収が起こらず、本来生え変わる時期に歯の動揺が起こりません。
お口の中の状態が良ければ30代くらいまで乳歯を使って普通の食生活がおくれます。ただし、解剖学的に永久歯よりも弱い構造・形態の乳歯ですので一生使うのは困難だと思います。ゆくゆくは別の方法を考えていく必要があるでしょう。
前述したように、下に永久歯が控えていない乳歯は抜けにくいです。それをあえて積極的に抜き、矯正治療で欠損部分に歯を寄せてくる方法です。
そう生がきつい患者様は永久歯を抜いて矯正を始める場合もあるので、歯1本分のスペースは矯正で閉じることはできます。しかし、もともとの歯並びがすきっ歯の場合には適応外になるので、詳しくはご相談下さい。
歯が無いところに歯を作る方法です。
インプラントとは人工歯根と呼ばれるチタン製のねじを顎骨内に埋入し、その上に歯の被せ物をしていく方法です。

ブリッジとは欠損している部分の両側の歯を橋ゲタにして連結した被せ物で橋渡しする方法です。両側の歯が虫歯のない健康な歯の場合でも、大きく削る必要が出てきます。

部分入れ歯を入れることでも欠損部分を補うことはできます。最近では針金が目立たない入れ歯や柔らかい素材でできた入れ歯など目立ちにくいものも増えています。

どの方法もメリットとデメリットがありますので、詳しくはお尋ね下さい。
「歯が埋まっていると言われました!」
それは埋伏歯です!埋伏歯とは、歯の頭(歯冠)の全てまたは一部が、顎の骨 に埋まって出ていない歯のことをいいます。
歯が骨の中に完全に埋まっているものを「完全埋伏歯」、歯冠の一部が見えているものを「半埋伏歯」または「不完全埋伏歯」といいます。
埋伏歯で多いのは...
① 上下顎の親知らず
② 上顎の真ん中の歯
③ 上顎の犬歯
完全埋伏歯は無症状に経過するため、本人も気づかずパノラマレントゲン撮影時にはじめて発見されることが多いです。不完全埋伏歯は、清掃不足による歯肉炎や虫歯によって痛みが生じる事があります。
一般的に、矯正治療で引っ張りだす(牽引)必要がある埋伏歯は、前歯や犬歯で、完全埋伏歯の事が多いので、なかなか気付きにくいです。
・ 乳歯の早期脱落により、奥歯が前に移動してしまい、萌出する為のスペースの不足による埋伏
・ 乳歯をぶつけた為に永久歯の歯胚の位置・方向が悪くなってしまい埋伏
・ 乳歯の神経の治療をした事による埋伏
・ 粘膜肥厚による6歳臼歯(第1大臼歯)の埋伏
検査の結果をもとに経過観察か、抜歯か、保存するかを患者様とご相談します。
まず、開窓してみます。埋伏歯の萌出を障害する原因を除去し、歯冠を露出させ、萌出を促す処置です。
萌出してこなければ、牽引します。開窓を行った後も埋伏歯に萌出力が認められなかったり、萌出方向が異常であったりする場合には、埋伏歯にブラケットを装着して、牽引して萌出させます。
① 電気メスを用いて、歯ぐきを切開します。当院では、痛みが少なく、止血しやすい電気メスを使用します。
② そこにブラケットを装着して、
③ エラスティックで牽引します。
犬歯の埋伏
|
真ん中の歯(中切歯)の埋伏
|
乳歯がなかなか生え変わらなかったり、乳歯が抜けても永久歯が出てこなくて心配な方は、無料相談に!永久歯が埋伏歯になっている可能性が考えられます。永久歯が何らかの原因で、顎の骨の中で止まってしまい出てこられない状態の可能性も考えられます。パノラマレントゲンも無料撮影します。
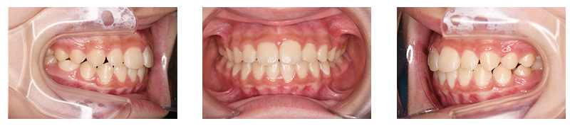
年齢・性別 |
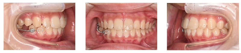
11歳1カ月女性 |
|---|---|
主訴 |
右下の乳歯が生え変わらない |
装置 |
バンドループ、マルチブラケット装置 |
期間 |
2年6カ月 |
治療費 |
22万円(消費税別) |
リスク副作用 |
歯肉退縮 三角空隙 歯根吸収 歯髄壊死 歯の欠損 等 |
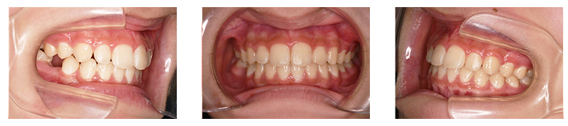
飯田先生の症例説明
左下の乳歯は生え変わったが、対称の右下が全く生え変わる気配がないことを心配なさって矯正相談にいらっしゃいました。レントゲン等を撮影し、永久歯が傾斜して埋伏していることが確認できたので、
①乳歯を抜いて、保隙、萌出を待ち、萌出後、矯正力をかけて並べる
②そのままにして、将来乳歯が抜けたら補綴する(永久歯は埋まったまま)
の2択のメリット、デメリットをお話しし、患者様にご選択いただきました。
乳歯を抜き、口腔外科医が含歯性嚢胞を摘出、開窓し、経過観察。埋伏している永久歯の向きは改善してきたもの、萌出までには至らず、バンドループで萌出スペースを確保し、1年半後再度、開窓し牽引のためのボタン付与。
マルチブラケット装置を用いて永久歯を配列しました。
〒116-0003 東京都荒川区南千住4-7-1 BiVi南千住2階