皆さまお久しぶりです!
一つお伝えしたい事がございます…
それは、なんとなんと…
ついに
ブラケット装置上下とも外れました〜❤️🧡💛💚💙💜❤️🔥
↓は上のブラケットが外れた物になります。

イエーイ✌️✌️
おめでとう御座います!自分! ㊗️・:*+.\(( °ω° ))/.:+
トータルで3年と2ヶ月かかりました!!!(6月に外しました)
ちょうど始めたのが2020年の4月で、コロナが流行っていた時になります!
みんなマスクをしてる時にやらせてもらったのでほとんどの方が矯正してた事多分わかってないです笑
矯正器具外した写真↓





治療前





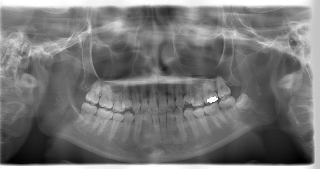
レントゲン↓
治療前


治療後


セファロ(横顔)のレントゲンを見ていただくと分かりやすいですが、出っ歯が治っております!!!Eラインがいい感じになりました。
Eラインとは鼻先と唇と顎先をつないだラインのことを言います。
このラインが一直線、または唇が少し内側に入るバランスであることが、美しい横顔の条件といわれています。
分かりやすく、線を引いてみました↓
 
 
←のが治療前、→が治療後です。
治療前だと唇が線にくっついて、治療後は鼻先から顎まで一直線で唇にも触れていません。
出っ歯が治ったおかげで鼻が高くなった感じもします!
コンプレックスだった唇も改善されました!
今まで麺類を食べるとブラケットに絡まって絡まって困りましたがもう気にせず外で食べれると嬉しい限りです☺️
ですがこらからが重要になってきます…
そう、毎日保定装置をつけなくてはならないのです!
それがリテーナです💫
頑張って年月たやして綺麗な歯並びを手にしても、保定装置を使わないと後戻りしてしまいます😢
めんどくさい…
って心の声をよく聞きます。
だけど怠けちゃダメです😞最初の一年はとても戻りやすいです。
矯正治療が終了したばかりの歯の根の周囲骨はまだ不安定な為、普段より動きやすいのです。
基本的に歯は一生変化をし続けています。
虫歯や歯周病、歯ぎしり、食いしばり、舌癖などでどんどん変化してきます。
ですので保定装置は一生使って頂いた方が綺麗な並びはキープできます。
なので保定装置は無くさないようにきをつけてください。
ちなみにリテーナと言っても何種類かあります。
その中でも私が使った物をご紹介します。
FIXリテーナ

フィックスリテーナーとは固定式の保定装置です😌
別名舌側弧線装置(犬歯間保定装置)とも言います。
フィックスリテーナは、歯の裏に合わせて0.5mm以下のワイヤーを曲げて作ります。
左右犬歯間に貼り付ける事が多いです。
FIXを貼る接着剤は薄いので発音に支障が出ることはないです。
FIXリテーナを貼った直後はザラザラしてて舌感は良くないですが慣れてきて気にならなくなります。
ご自身での取り外しが不可能になる装置な面、オーラルケアが大事になります!
定期的なクリーニングをおすすめします!🤩
クリアリテーナ(マウスピース)

透明なプラスチックでできたリテーナで、歯列全てを覆う形をしてます。
こちらの装置はご自身で取り外ししていただく装置です。歯磨きやお食事の際取り外しができるので清掃性は良いです!
見た目が透明でとても薄く、外からみても目立たず、見た目への影響がとても少ないです。
歯列を全体覆っているので、歯に対してしっかりと保持力をかける事ができます!
逆に噛み締めるクセがあったり、夜寝る時に歯ぎしりしてしまう方はマウスピースが消耗しやすいです。
今までブラケット矯正をしてた方は違和感があると思いますが、インビザラインで矯正していた方は違和感なく使用できます!
さてさて矯正治療を三年間えて、やってよかったことと悪かったことをお伝えします!
良かった事✌️
❤️歯を出して笑えるようになった!
❤️顔の肉が減った

↑これが

↑こんな風にになりました。
写真では見せれないので絵です笑
❤️前まで顔でかいと言われたが今では小顔といわれるようになった
❤️横顔が綺麗になった
❤️久しぶりに会う人に痩せたと言われるようになった
❤️鼻が高くなったと言われるようになった
❤️歯磨きが楽になった
❤️外食する時繊維物、麺類は装置に絡まるので避けていたが気にせず食べるようになった
❤️毎回の調整による痛みがなくなった
❤️歯のケアに命かけるようになった
❤️自身も治療することによって知識が増えた
❤️永久歯が2本足りないことによる今後の心配がなくなった
❤️矯正のストレスフリー
↑1番に感じましたー😌
やっぱり解放されるのは嬉しもんです!
悪かった事👊
💙食事の度装置に物が詰まって嫌だった
💙調整の度痛い
💙健康な歯を抜いた
💙ブラックトライアングルがいっぱいできた
💙歯肉退縮
💙歯磨きに毎晩時間かかった
💙お金がかかった
💙知覚過敏が発生
こんな感じになります!
ですが悪かった事よりもやって良かった方が大きいです!
🌼結論🌼
やって大正解!!!!!
私の場合コンプレックスだった出っ歯と顔の肉が減った事が嬉しくて嬉しくて…😌
整形並みだと思ってます✌️コンプレックスが消えるだけで人生もっと楽しくなりますね🥳
調整してくれた先生には感謝しきれません!
矯正は100万近くする大金ではありますが、やる価値はすごいありますので、借金してでも早くやる事をお勧めします!!
さてさて次回はなんと私の矯正日記最終回になります…😢
まさかの結末です☺️
お見逃しなく😌!笑
日付: 2023年7月25日 カテゴリ:未分類, 歯科衛生士Wさんの矯正日記, 矯正治療日記, 矯正治療関連, 矯正装置, 表側矯正・裏側矯正 and tagged g



 
 

























 
 

 
 

 そうこれです!ネジみたいな歯茎に刺さってるやつです!! インプラント矯正とは「歯科矯正アンカースクリュー」という小さなネジを写真のように歯 茎の骨の部分に埋入し、歯を動かす時の固定源として用いる方法です。 「インプラント」とという言葉を聞いてしまうと歯がなくなった時に埋め込む「デンタルイ ンプラント」を想像する方が多いかと思いますが全くことなります。 アンカースクリューはデンタルインプラントのように大きくなく直径~2mm、長さ~1 0mmぐらいのチタン合金の微小なネジになってます!
そうこれです!ネジみたいな歯茎に刺さってるやつです!! インプラント矯正とは「歯科矯正アンカースクリュー」という小さなネジを写真のように歯 茎の骨の部分に埋入し、歯を動かす時の固定源として用いる方法です。 「インプラント」とという言葉を聞いてしまうと歯がなくなった時に埋め込む「デンタルイ ンプラント」を想像する方が多いかと思いますが全くことなります。 アンカースクリューはデンタルインプラントのように大きくなく直径~2mm、長さ~1 0mmぐらいのチタン合金の微小なネジになってます!

 
  
 



 



 
  
  
 
 
  
   
 














